


|
|
|
|
|
PMNews
Browse PMNews Issues
Previous Issue | Next Issue
| PM News | |
The Voice of Podiatrists
Serving Over 17,548 Subscribers Daily
December 27, 2016 #5,827 Publisher-Barry Block, DPM, JD
A partner of Podiatry Management http://www.podiatrym.com E-mail us by hitting the reply key. COPYRIGHT 2016- No part of PM News can be reproduced without the written permission of Barry Block
|
|
| PM NEWS QUICK POLL |
Quick Poll
|
|
For what reason will you likely (or did you) retire? |
 |
|
|
|
| PODIATRISTS IN THE NEWS | |
CA Podiatrist Discusses Diabetic Neuropathy
Even people with well-controlled diabetes are more likely to develop wounds, most of which occur on the ankles and feet. The skin in these areas often becomes dry and cracked, making it more vulnerable to infection. Neuropathy, a common diabetes complication, can contribute by causing numbness and lack of feeling in the feet.
|
|
Dr. Lee Rogers |
“Pain is a warning sign, but if you have significant nerve damage, you can’t feel the pain, so you don’t get the warning, says Lee C. Rogers, DPM, Medical Director of the Amputation Prevention Centers of America. “So you may have a pebble in your shoe, and you will continue to walk on it and be completely unaware that a callus or blister is forming.”
Source: Cheryl Alkon, Health Central.com
|
|
| PODIATRISTS IN THE COMMUNITY | |
Natural Beauty was Prime Attraction for AK Podiatrist
Dr. Harry Cotler, of Soldotna, will be serving the Seward Community on a recurring basis with his podiatry clinic operated out of Providence Hospital every 4-6 weeks. Cotler began his medical career in Miami, Florida, where he practiced out of downtown and lived in nearby Fort Lauderdale. Damages caused by Hurricane Andrew in 1992 caused him to close his office and re-evaluate where he wanted to rebuild his life and practice. He was looking for somewhere with license reciprocity and settled on Alaska, as a place of opportunity.
|
|
Dr. Harry Cotler |
Cotler had grown up on a farm in New Jersey, enjoyed being around livestock and having space to be outside. He was encouraged to explore the Kenai Peninsula for its natural beauty and spaciousness. “All it took was that one drive between Anchorage and Soldotna,” explained Dr. Cotler. The natural beauty – the mountains, the drive along Cook Inlet, the striking Kenai River. All of these convinced him that Soldotna was the place to start a new life.
Source: Kelley Lane, Seward City News [12/19/16]
|
|
| FROM PM's CURRENT ISSUE | |
Twice a week, PM News posts an entire article from a recent issue of our partner, Podiatry Management Magazine. Please note that the views expressed in Podiatry Management Magazine do not necessarily reflect the views of PM News or Barry Block.
|
|
Today's Featured Article |
|
|
|
| PRACTICE MANAGEMENT TIP OF THE DAY | |
4 Branding Tips for Medical Practices - Part 2
Your brand isn't just what you say your practice is about. Your brand is about your relationship with your patients, and the emotional response they have to your practice. You can influence it through branding efforts, but the patient ultimately decides his perception based on his own experience. Here are four ideas that can help you meet your goals for branding, while minimizing wasted time, money, and effort.
2. Seek feedback: To be sure the reality of your brand matches up with your intentions, you'll need honest feedback. The good news is that it's easier than ever to get.
Online reviews are a good starting point. Many practices discount the feedback offered online. However, patient reviews can reveal genuine issues that negatively impact your brand. This gives you an opportunity to fix them. Fixing these potential issues will help you stay on track if you're trying to build a brand that represents excellent service and accessibility.
You can also solicit feedback from your patients with surveys. And don't forget that other physicians who work with your practice (and their staffs) may have valuable input on how your services match up with what your brand promises.
Source: Joe Capko, Physicians Practice [12/14/16]
|
|
| CODINGLINE CORNER | |
Query: Radiofrequency Coding
I have a Medicare (Nassau County, New York) patient with a painful neuroma. How would one bill for radiofrequency destruction using a Neurotherm machine in terms of CPT and diagnostic coding?
David Sands, DPM, Great Neck, NY
Response: The Neurotherm machine use involves no specific CPT code use that I am aware of. You are in New York and your NGS is your Medicare contractor. I looked on their website for specific neuroma coding guidance and did not see any.
For destruction, when you think neuroma, you look in the nerve section, for example, CPT 64632 (destruction by neurolytic agent; plantar common digital nerve). This means you are using a neurolytic agent that is destructive. I do not believe the Neurotherm machine meets the description. If it is not destructive but therapeutic, you would use a code like CPT 64999 (unlisted procedure, nervous system). This therapy is probably going to a CASH service.
You did not give the exact anatomical location for the neuroma, so the most common neuroma ICD-10 codes are:
G57.61 Lesion of plantar nerve, right lower limb
G57.62 Lesion of plantar nerve, left lower limb
G57.63 Lesion of plantar nerve, bilateral lower limbs
David J. Freedman, DPM, CPC, Silver Spring, MD
For information on Codingline subscriptions, click here
|
|
| RESPONSES/COMMENTS (NON-CLINICAL) - PART 1A | |
From: David Cutler, DPM
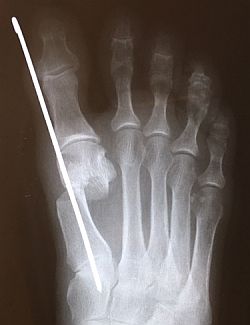
For those of you who prefer evaluating newer surgical procedures with a bit more published research behind them, look at the European orthopedic literature on MIS bunionectomy. Most of these procedures are variations on the same technique, namely a through-and-through metatarsal neck osteotomy with aggressive lateral translation of the capital fragment along with a unique stabilization of the capital fragment using a 2mm K-wire as shown here.
|
|
Post-op X-ray of SERI Bunionectomy |
There are several of these published studies dating back to the early 1990s, but the most expansive is by Giannini, et al. in International Orthopedics, September 2013 entitled "A Minimally Invasive Technique for the Surgical Treatment of Hallux Valgus; Simple, Effective, Rapid, Inexpensive (SERI)" (PMID 23820757) with 1,000 cases. At first glance, this technique seems prone to non-union, though in this study, none were reported. Dorsal malunion was observed though only in 8 cases.
I’ve been doing open bunionectomy techniques since I started practice in 1988, though with robust studies on MIS such as these, I’ve started doing the SERI technique over the past several months. It is trickier to perform than you might expect, though patients do experience very little post-op pain and minimal swelling compared to open techniques, and they do appreciate the smaller scar.
David Cutler, DPM, Bellingham, WA
|
|
| RESPONSES/COMMENTS (CLINICAL) - PART 1B | |
From: Don Peacock, DPM, MS
I agree with all the points made by Dr. Fellner. I have also performed the SERI procedure and what I find most desirable about the procedure is the ability to rotate the distal fragment in the frontal plane, allowing for better repositioning of the sesamoids.
That being said, I am not fully convinced that we should position the sesamoids back to proper placement in all cases. Let me explain. I found that in some instances, trying to reposition the sesamoids under the metatarsal head resulted in...
Editor's note: Dr. Peacock's extended-length letter can be read here.
|
|
INVITATION TO PARTICIPATE IN THE NBPME
PARTS I & II PRACTICE ANALYSIS SURVEY
The National Board of Podiatric Medical Examiners (NBPME) commissioned a practice analysis study to update the Parts I & II Examination. The practice analysis survey below is designed to elicit your input on the process. The results of the study will be used to update the test specifications for the Parts I & II Examination. We would greatly appreciate your input to this very important project.
The online survey will take approximately 30 minutes to complete and most questions take just seconds to answer. You also have the option to save and complete the survey in multiple sessions.
To thank you for your participation, the National Board of Podiatric Medicine (NBPME) is offering five $100 Amazon gift cards.
Participation in the drawing is optional. You will be contacted via email if you are a winner after the survey closes. All of the information you provide will be kept confidential.
INSTRUCTIONS FOR PARTICIPATION:
To access the survey, please click on the following website or copy the website to your Web browser:
Your completed survey should be submitted by Sunday, January 15, 2017 (8:00 PM EDT).
|
|
| RESPONSES/COMMENTS (NON-CLINICAL) - PART 1A | |
From: Steven N. Solomon, DPM, JD, Raymond F Posa, MBA
With the latest Yahoo breach, encrypting your email is a great idea. As a medical practitioner though, you need to make sure that the people you're communicating with are using the same email system as you are. You also need to make sure that you have a BAA signed with the email provider so as to be HIPAA-compliant. You may find it easier to use a patient portal for your communications as it forces the people communicating with you to do so securely.
Steven N. Solomon, DPM, JD, NY, NY
I recommend Zix Corp (zixcorp.com) to all of my HIPAA clients. It is fairly inexpensive and works seamlessly through Outlook. Also, along similar lines, if you need to encrypt your text messages, check out Tiger Text (tigertext.com)
Disclosure: I have no financial relationship to either company. I just have years of experience with them and they are solid reputable companies that offer outstanding service.
Raymond F Posa, MBA, Farmingdale, NJ
|
|
| RESPONSES/COMMENTS (NON-CLINICAL) - PART 1B | |
From: Martin S. Lynn, DPM, Jay Seidel, DPM
Sendinc.com is an excellent resource, providing options such as email destruction after a pre-determined time.
Martin S. Lynn, DPM, Oil City, WA
I use G Suite. It's the paid version of Gmail, Calendar, and Drive. You can sign a BAA with them and they are HIPPA- compliant. Also, it looks more professional, as you'll have youremail@yourwebsite.com. Pricing starts at $5/month per user for 30gb of storage, and for another $5/month, storage is unlimited.
Disclosure: I have no financial interest in Google's products.
Jay Seidel, DPM, Baltimore, MD
|
|
| YOU CAN'T MAKE THESE THINGS UP | |
RE: Outrageous Shoe of the Day
|
|
Worn by Mrs. Claus? |
Source: Kasia Ostapowicz via Virtual Shoe Museum
|
MEETING NOTICES
|
|
|
|
NEED CME CREDITS FAST?
PODIATRY MANAGEMENT'S AFFORDABLE ONLINE CME
You can Earn up to 50 CPME-Approved CME Contact Hours Online
Earn 15 Contact Hours only $210
(Only $14 per credit) http://www.podiatrym.com/cme.cfm
All required credits can be taken online for AL, AK, AR, CA, CO, CT, DE, HI, IN, KS, KY, LA, MA, ME, MD, MI, MN, MI, NV, NJ, NM, ND, OH, OR, RI, SC, SD, UT, VA, WV, WI, & WY
Partial required credits can be taken online for AZ, CT, FL, GA, ID, KY, IL, IA, MO, MT, NE, NH, NY, NC, OK, PA, PR, TN, TX, VT, WA, and DC
Choose any or ALL from 30+ CME Category-1 articles posted
|
|
| CLASSIFIED ADS - PART 1 - ASSOCIATE POSITIONS AND FELLOWSHIPS |
ASSOCIATE POSITION – NY & PA
3 doctor, multi-location practice in NY & PA seeking associate. Partnership available after 1 year. Email CV and contact information to atuccio@stny.rr.com
IMMEDIATE ASSOCIATE POSITION AVAILABLE – INDIANAPOLIS
For motivated, hard-working residency-trained podiatrist in busy 3-office practice leading to partnership. Would consider 2017 residency graduate. Two locations in Indianapolis and 1 location outside of Metro area. Competitive salary and benefit package including 401, profit-sharing, Health insurance. Surgery center ownership available. Forward letter and resume to Imalament1@comcast.net.
ASSOCIATE PODIATRIST - FREDERICK, MARYLAND
Group practice seeks well-trained podiatrist to join our group. Our practice has all the bells and whistles. Hospital emergency room call is required. Must be confident in Trauma, Ankle Fractures and Diabetic Limb Salvage. Drsteinberg@mynewfeet.com
ASSOCIATE POSITION - ST. LOUIS, MO
Expanding group practice seeks full-time podiatrist to join our team, we have state of the art facilities with EHR, lasers, EPAT, digital x-ray, etc. Candidates must have completed a PSR/36 residency and be well-trained, ethical and collegial.
Competitive salary with incentives and benefits. If interested, please Contact CHARLENEW@FACSTL.COM.
ASSOCIATE POSITION - KANSAS CITY
You're not looking for a typical podiatry practice. We're not looking for the typical podiatrist. We’re busy and still growing and need another doctor who understands the importance of creating an amazing patient experience as much as providing great medical care. You will be working with doctors who are committed to your success. Go to: www.YourFutureInPodiatry.com for full details
POSITION AVAILABLE - LOS ANGELES, CA
Multi office, multi physician foot and ankle surgical practice looking for highly trained foot and ankle surgeon to join our growing group. Practice emphasis on sports medicine, reconstructive foot and ankle surgery and revision surgery. Prospective candidate must have excellent personal skills and work well with a team. Competitive compensation and 401K, profit sharing, health insurance, dental and vision insurance. Surgical center partnership potential and full scope hospital privileges available. Facility is state-of-the-art with PT, CT, MRI, ultrasound and digital x-ray all in office. New graduates are welcome. Interviews prior to and at ACFAS in Las Vegas. Contact us at: bbaravarian@mednet.ucla.edu
ASSOCIATE POSITION - EAST CENTRAL FLORIDA
Large Practice in East Central Florida has a fulltime position open. Responsibilities include servicing patients in ALF and SNF facilities along with inpatient hospital responsibilities. To apply please go to www.yourcareerinpodiatry.com
ASSOCATE POSITION – GEORGIA
Village Podiatry Group, a wholly owned subsidiary of Extremity Healthcare, Inc. is seeking board qualified/certified associates with a Georgia license. Ideal candidates have 3-5 years’ experience and knowledge of coding/billing, and desire to excel while utilizing our practice owned ancillaries. Our successful model is built to enrich the physicians and their efforts. Serious inquiries only to Tony Brzezicki, Human Resources, at tbrzezicki@extremityhc.com or fax (770.874.1748). Starting salary will be based on experience and the value you bring to the practice. EHI also offers a competitive benefits package.
ASSOCIATE POSITION - UPSTATE NY
Rapidly growing practice seeks associate to join and become partner. Key attributes: Board Qualified/Certified, self-starter, willingness to build practice. Partnership starts beginning year 2 based on per-established criteria. Contact: docryanlee@gmail.com
ASSOCIATE POSITION – FT/PT NORTHERN VIRGINIA
Immediate opening but will wait for 2017 residency graduate. Looking for a well-trained, well rounded, podiatrist. Should be competent in forefoot, rearfoot and ankle surgical procedures and wound care. All aspects of podiatry, pediatrics, orthopedic and surgical. Competitive salary, bonus, benefits and buy-in potential. Send cover letter, CV to footdocva@cox.net
PM NEWS CLASSIFIED ADS REACH OVER 16,500 DPMs AND STUDENTS
Whether you have used equipment to sell or are offering an associate position, PM News classified ads are the fastest, most-effective way of reaching over 16,500 subscribers. For details, click here or write to: bblock@prodigy.net or call (718) 897-9700 for details. For commercial or display ads contact David Kagan at davidekagan@gmail.com or call (215) 808-0770.
|
| Disclaimers |
Acceptance and publication by this newsletter of an advertisement, news story, or letter does not imply endorsement or approval by Barry Block or Kane Communications of the company, product, content or ideas expressed in this newsletter. Podiatric Medical News does not represent the views, and is a separate entity from Podiatry Management® Magazine and Podiatry Management® Online. Any information pertaining to legal matters should not be considered to be legal advice, which can only be obtained via individual consultation with an attorney. Information about Medicare billing should be confirmed with your State CAC.
THIS MESSAGE IS INTENDED ONLY FOR THE USE OF THE INDIVIDUAL OR
ENTITY TO WHICH IT IS ADDRESSED AND MAY CONTAIN INFORMATION THAT IS
PRIVILEGED, CONFIDENTIAL AND EXEMPT FROM DISCLOSURE.
If the reader of this message is not the intended recipient or an
employee or agent responsible for delivering the message to the
intended recipient, you are hereby notified that any dissemination,
distribution, or copying of this communication is strictly
prohibited. If you have received this communication in error, please
immediately notify me and you are hereby instructed to delete all
electronic copies and destroy all printed copies.
DISCLAIMER: Internet communications cannot be guaranteed to be
either timely or free of viruses.
| | Guidelines |
- To Post a message, send it to: bblock@podiatrym.com
- Notes should be original and may not be submitted to
other publications or listservs without our express written
permission.
- Notes must be in the following form:
RE: (Topic)
From: (your name, DPM)
Body of letter. Be concise. Limit to 250 words or less). Use
Spellchecker
Your name, DPM City/State
- Subscribers are reminded that they have an ethical obligation to disclose any potential conflicts of interest when commenting on any product, procedure, or service.
| |
|
Browse PMNews Issues
Previous Issue | Next Issue
|
| |
|
|
|