


|
|
|
|
|
PMNews
Browse PMNews Issues
Previous Issue | Next Issue
| PM News | |
The Voice of Podiatrists
Serving Over 14,000 Podiatrists Daily
December 03, 2012 #4,628 Publisher-Barry Block, DPM, JD
A service of Podiatry Management http://www.podiatrym.com E-mail us by hitting the reply key. COPYRIGHT 2012- No part of PM News can be reproduced without the express written permission of Kane Communications, Inc.
|
| PODIATRISTS IN THE NEWS - PART 1 | |
MI Podiatrist Discusses What to Look for When Buying Winter Boots
According to podiatrist Dr. Jeffrey Frederick, there are three things that we should think about when purchasing winter boots: first is comfort, second is warmth, and third is traction.
|
|
Dr. Jeffrey Frederick |
Materials have ratings for warmth. "Some of the materials will fool you," says Frederick, "they look so thin, you say to yourself 'they can't possibly be warm,' but in fact they are." Some of the new materials also wick away the moisture from your foot, and that helps keep feet warm, says Frederick.
Source: Fox News
|
|
|
| PODIATRISTS IN THE NEWS - PART 2 | |
FL Podiatrist Provides Holiday Shopping Tip for Feet
Holidays are a time for family dinners, parties, decorating, writing cards, and entertaining friends, but all those events can add pounds to the waistline and stress to daily life. Your feet may also suffer this time of the year.
|
|
Dr. Olga Luepschen |
"I see a lot of stress fractures this time of year from people standing, being on their feet a lot, or marathon shopping," said podiatrist Dr. Olga Luepschen, with Gentle Foot Care Center. "Wear comfortable sneakers or walking shoes. And if your feet are hurting, get off them."
Source: Pamela Glinski, The Tampa Times [12/1/12]
|
|
|
| PODIATRY STAFF AND THE LAW | |
Family of MA Podiatrist Seeks Justice From Accused Embezzler
Don and Cathy Snyder feel betrayed and want justice for his late uncle, Dr. Irving R. Snyder, whose life savings were stolen, allegedly by the doctor's health aide. "We think it's terrible for a lot of reasons," Cathy Snyder said in an interview at Superior Court Friday. "She was a trusted friend of my uncle and she violated that trust terribly. She should have been a family friend and family hero instead of being vilified."
Gloria Balestracci, 66, of Dartmouth, is charged with stealing about $1.2 million from the late Dr. Snyder, a New Bedford podiatrist, between 2004 and 2009. Balestracci worked as Snyder's office manager for 13 years and then, when he retired, she became his home health aide. Snyder was 90 at the time of his death in 2009.
Source: Curt Brown, South Coast Today [12/1/12]
|
|
|
| QUERIES (CLINICAL) | |
Query: Verrucous-Looking Lesions on a Seven Year Old
A seven year old girl presented with a rather large, fast growing lesion on her lateral 3rd toe which began two months ago. She has another lesion on her right medial ankle. The lesions appear verrucous.
|
|
Verrucous-looking Lesion |
I want to biopsy them, which eliminates the laser as primary treatment. Usually, I do an excisional biopsy, but the digital lesion is so big that closure may be difficult. Any thoughts and pearls for handling this case?
Dennis Shavelson, DPM, NY, NY
|
|
| QUERIES (NON-CLINCAL) | |
Query: Source for Dehydrated Alcohol
Can anyone list a place to obtain dehydrated alcohol?
Ed Dosremedios, DPM, Providence, RI
|
|
| RESPONSES / COMMENTS (CLINICAL) - PART !A | |
RE: 1st MTPJ Fusion or Lapidus for Severe HAV (Charles Morelli, DPM)
From: David Secord, DPM
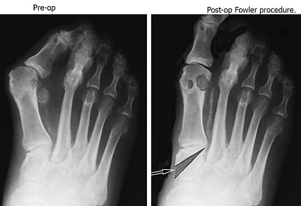
One of more reliable procedures I’ve done over the years is the Fowler. Rarely mentioned and one of the more powerful procedures I’ve had in my armamentarium of proximal procedures. The Fowler has the advantage of preserving the function of the 1st met/medial cuneiform joint (if normal), correcting the congruence of the joint if it is angled, improving the deformity, and can be used to predictably lengthen the 1st ray.
|
|
Fowler Precedure |
In Dr. Morrelli ’s case, the IM is good, but the 1st met/medial cuneiform is angled, and the 1st ray is short compared to the 2nd metatarsal. All of these things could be adequately addressed (IM, 1st met/medial cuneiform angle and length) by the Fowler. In the past, I’ve corrected up to a 45° IM angle (when 4 other surgeons in town told the patient, “nothing could be done”). I like to use a femoral head graft with Symphony with a mesh plate from Osteomed's ocular trauma set with self-drilling and self-tapping screws. This will allow limited weight-bearing after a week and full weight-bearing after four weeks.
David Secord, DPM, Corpus Christi, TX, david5603@ol.net
|
|
| RESPONSES / COMMENTS (CLINICAL) - PART 1B | |
RE: 1st MTPJ Fusion or Lapidus for Severe HAV (Gino Scartozzi, DPM)
From: Barry Mullen, DPM
I couldn't agree more with Dr. Scartozzi's logic and sentiment. I simply fail to understand the rationale that supports fusing a salvageable 1st MTP. Proponents of 1st MTP fusion claim excellent functional results post-operatively. Really? What does that mean to a healthy, young, active individual who wants to retain the same activity level post-operatively as they enjoyed pre-operatively? When you have a pre-operative functional 1st MTP, a surgeon's goal should be to retain joint motion, even increase it when possible, not eliminate it.
In this case, while the PASA and IM angles are significantly elevated, a clear joint space exists which indicates...
Editor's note: Dr. Mullen's extended-length letter can be read here.
|
|
| RESPONSES / COMMENTS - (NON-CLINICAL) | |
RE: CMS to Now Cover Obesity Counseling (Jon Hultman, DPM)
From: Robert Bijak, DPM
I would hardly call "walking to reduce obesity" a medical solution, but an obvious layman's answer. Obesity is associated with systemic complications including cardiac ones. A patient shouldn't be told to walk (exercise) without a physician's examination of cardiac ability to do so. Podiatrists are NOT real physicians who are trained or licensed to make determinations of coronary safety.
Dr. Hultman's response is a simplistic one, demonstrating a lack of knowledge of the associated risks and complications of obesity. When his first patient gets an MI from being told to walk without appropriate coronary screening, a JD will show him the value of his DPM in obesity counseling.
Robert Bijak, DPM, Clarence Center, NY, rbijak@aol.com
|
|
| RESPONSES / COMMENTS (NEWS STORIES) - PART 1 | |
RE: WI Podiatrist Killed by Motorcyclist in Thailand
From: Richard Cowin, DPM, Lynn Homisak
I would like to express my deepest condolences to the family of my classmate and colleague, Dr. Ian Furness on his tragic passing. He was a credit to our profession and he will be missed, I’m sure, by not only his family and friends, but also by his patients, staff, and colleagues. May he rest in peace.
Richard Cowin, DPM, Orlando, FL, rcowin611@aol.com
I didn't know Dr. Furness personally, but after reading the post about his hit and run accident that led to his senseless death in Thailand, my heart sighed deeply. Sincere sympathies go out to his family, friends, and colleagues on their tremendous loss.
Lynn Homisak, Renton, WA, lynn@soshms.com
|
|
|
| RESPONSES / COMMENTS (NEWS STORIES) - PART 2 | |
RE: PAL Health Technologies CEO Dies
From: Paul Langer
Jeff Schoenfeld's passing left me with great sadness. Jeff was a friend of many years. He and I entered this industry at about the same time, and we had many opportunities over the decades to meet socially and as part of business endeavors. Jeff's energy and enthusiasm were contagious and, because of that, every encounter with Jeff was exciting and enjoyable. I have great respect for the company he built and for what he achieved. Jeff set a high standard for customer service in our industry that all lab owners and managers strive to meet.
Jeff Schoenfeld made a mark on the orthotic laboratory industry. He will be missed - by me and certainly many others.
Paul Langer, President, Footbon Orthotic Laboratory, mail@paullanger.com
|
MEETING NOTICES - PART 2
The Florida Podiatric Medical Association
Presents
SAM 2013
Mark your calendar and plan to attend SAM 2013 in Orlando, Florida, January 16 - 20, 2013. Featuring a wide variety of lectures, including biomechanics, dermatology, surgery, and practice management. A Breakfast Symposium with Drs. Bradley Bakotic and Bryan Markinson takes place on Friday as well as the FPMA General Membership Meeting. Workshops on ultrasound and wound care will also be available. Front and Back Office Assistants and X-Ray Assistants are not forgotten. The exhibit hall will be packed with the latest instruments and products for your review. There will also be plenty of time for fun with Motown Review on Friday night and Comedy Night on Saturday night.
Go to www.fpma.com for more about SAM 2013.
|
|
|
| CLASSIFIED ADS | |
PRACTICE FOR SALE - SOUTHWEST FL
Multilocation multidoctor practice in beautiful Southwest Florida . Practice has grossed over seven figures consistently and currently shows 10-15% growth in revenues with increase in new patients and patient visits. EHR is already implemented with meaningful use criteria met. Practice has been professionally evaluated by Provider Resources. Only serious inquiries to this email address. This is a great practice in Paradise and a good opportunity for the right doctor or doctors. Email to : practiceforsaleswfla@gmail.com.
EQUIPMENT FOR SALE - X-CELL X-RAY MACHINE
X-Cell floor x-ray machine for sale, just calibrated as well. Model P-700. KVP 50-70, MA 10 & 15. Located in Boston, will drop off if within 50 miles. Call 617-974-3338 (Best reasonable offer accepted)
EQUIPMENT FOR SALE - USED Q-CLEAR LASER
Still under warranty . New laser head just added. First Best Offer. Marketing and training included. Dr. Zuckerman will train you. e-mail with questions to mook863@comcast.net
SPACE AVAILABLE - NYC & LI
Office to sublet and share - East 60th Manhattan, and Plainview, Long Island. access to an MRI, Joint Commission certified operating rooms, digital x-ray, diagnostic ultrasound, and access to a multi-specialty ambulatory surgical center. Also availability E 22nd between 2nd and 3rd and E 70th off 3rd. Turn-key operation - no investment needed PODO2345@AOL.COM 516-476-1815.
ASSOCIATE PODIATRIST - NEW YORK CITY / BROOKLYN
Full time office locations. Excellent opportunity for a motivated, ethical and enthusiastic associate to join a successful, well established hospital affiliated practice. Must be residency trained PSR 24/36.Board eligible/certified by ABPS preferred. Must be competent in forefoot and rearfoot surgery. Competitive salary with incentives. Email CV to DRSTEVEMENNA@GMAIL.COM
ASSOCIATE POSITION – VIRGINIA
Two office practice, hospital and surgery center privileges, trauma call, modern offices, EHR, digital x-rays. Excellent compensation package. Position may lead to partnership. Candidate needs to be experienced in foot and ankle reconstruction, trauma, external fixation, and ankle replacement surgery. Email letter of interest and CV to Dr. Joe Disabato at jdisabato@vfasa.com
ASSOCIATE POSITION - CT (GREENWICH, FAIRFIELD, AND NORTH HAVEN)
Join one of the largest podiatric groups in Connecticut. Well-established and progressive offices, including EMR, digital x-ray, vascular and NCV studies, Pinpointe and CO2 lasers, diagnostic ultrasound and electrical stimulation therapy. You can expect a full schedule of patients the day you start, and a very competitive salary. For more info www.greatfootcare.com. Send resume to Dr.Kassaris@yahoo.com
ASSOCIATE POSITION - CALIFORNIA, ORANGE COUNTY
We are a three physician group with two offices and a well rounded practice with all types of pathology encountered. Our EMR is fully implemented. If you are surgically trained and want to join a growing practice in beautiful Southern California email your resume to jibennett1@msn.com.
ASSOCIATE POSITION - PUERTO RICO
Looking for a well motivated surgically trained podiatrist for a 20 year old hospital-based multi office practice . Candidate must be personable, ambitious, and knowledge of SPANISH language a must. Hospital surgical privileges available with heavy load of high risk diabetic foot patients. This position leads to PARTNERSHIP, and eventually ownership. Offices located near San Juan Metro area near Beaches, great schools, and major shopping malls. Please send CV to medicopodiatra@aol.com
ASSOCIATE POSITION - EASTERN SHORE OF MARYLAND
Seeking highly motivated, ethical, enthusiastic associate to join successful, well-established practice located in close proximity to Maryland and Delaware beaches. Certified/qualified by ABPS with rearfoot experience preferred. The practice incorporates surgery, wound care, sports medicine and general podiatry. Fully equipped office with diagnostic ultrasound, fluoroscopy, vascular testing, radio frequency ablation, six treatment rooms and three satellite offices. Main office has accredited ambulatory surgery center. This opportunity has excellent salary potential with benefits for the right individual. Send CV to dpmkthomas@gmail.com.
ASSOCIATE POSITION - NASSAU COUNTY, NEW YORK
Exciting Opportunity! Associate position. Must be Board Qualified. Joining all Board Certified Doctors in foot surgery and reconstructive rear-foot and ankle surgery. Respond to: Podiatryoffice@doctor.com
ASSOCIATE POSITION - KANSAS CITY
Kansas City may be the perfect move for you and your family. I am looking for an entrepreneurial minded associate who wants to grow and then own part of an already successful practice. If you are the right candidate for this associate position, you will enjoy a competitive compensation package and you will be working with a doctor who is as committed to your success as he is to his own. Go to: www.YourFutureInPodiatry.com for full details.
ASSOCIATE POSITION - PORTLAND, OREGON
Busy office with good steady referral sources looking to expand. Areas of expertise wanted: wound care, surgery of all aspects, knowledge of running an office. Please come with good personality and hard work ethic. New main and satellite offices. Email: office.pfac@gmail.com
ASSOCIATE POSITION NEW JERSEY - PASSAIC COUNTY
Associate Position Available leading to Practice Purchase. 25 year old well established general, well rounded practice seeking residency trained, ABPS eligible/certified podiatrist. Must be able to perform general foot procedures/surgeries without assistance. Well equipped office with digital x-ray, ultrasound, Doppler, 3 treatment rooms. Hospital Privileges available. Must be logical, Ethical and hard working. Pay commensurate with performance. Call 201 986-1900 ToeBizCenter@Yahoo.Com
ASSOCIATE POSITION - NORTHWEST IOWA
A well-established, midwest multi-physician practice with strong hospital affiliations seeking FT podiatrist. Applicant should be well trained surgical physician, completed a 12/24 month residency, & board eligible. Practice offers high surgical volume, advanced wound care and good mix of general podiatry. Competitive salary, excellent benefits. Fax resume: 712-258-9977.
PM News Classified Ads Reach over 14,000 DPMs and Students
Whether you have used equipment to sell or our offering an associate position, PM News classified ads are the fastest, most-effective way of reaching over 14,000 DPMs. Write to:bblock@podiatrym.com or call (718) 897-9700 for details. Weekly ad rates start as low as $115 for a 50-word ad. THIS OFFER DOES NOT APPLY TO BUSINESSES PROVIDING PRODUCTS OR SERVICES. Note: For commercial or display ads contact David Kagan at (800) 284-5451.
|
| Disclaimers |
Acceptance and publication by this newsletter of an advertisement, news story, or letter does not imply endorsement or approval by Barry Block or Kane Communications of the company, product, content or ideas expressed in this newsletter. Podiatric Medical News does not represent the views, and is a separate entity from Podiatry Management® Magazine and Podiatry Management® Online. Any information pertaining to legal matters should not be considered to be legal advice, which can only be obtained via individual consultation with an attorney. Information about Medicare billing should be confirmed with your State CAC.
THIS MESSAGE IS INTENDED ONLY FOR THE USE OF THE INDIVIDUAL OR
ENTITY TO WHICH IT IS ADDRESSED AND MAY CONTAIN INFORMATION THAT IS
PRIVILEGED, CONFIDENTIAL AND EXEMPT FROM DISCLOSURE.
If the reader of this message is not the intended recipient or an
employee or agent responsible for delivering the message to the
intended recipient, you are hereby notified that any dissemination,
distribution, or copying of this communication is strictly
prohibited. If you have received this communication in error, please
immediately notify me and you are hereby instructed to delete all
electronic copies and destroy all printed copies.
DISCLAIMER: Internet communications cannot be guaranteed to be
either timely or free of viruses.
| | Guidelines |
- To Post a message, send it to: bblock@podiatrym.com
- Notes should be original and may not be submitted to
other publications or listservs without our express written
permission.
- Notes must be in the following form:
RE: (Topic)
From: (your name, DPM)
Body of letter. Be concise. Limit to 250 words or less). Use
Spellchecker
Your name, DPM City/State
- Subscribers are reminded that they have an ethical obligation to disclose any potential conflicts of interest when commenting on any product, procedure, or service.
| |
|
Browse PMNews Issues
Previous Issue | Next Issue
|
| |
|
|
|