


|
|
|
|
|
PMNews
Browse PMNews Issues
Previous Issue | Next Issue
| PM News | |
The Voice of Podiatrists
Serving Over 18,697 Subscribers Daily
November 19, 2019 #6,552 Publisher-Barry Block, DPM, JD
A partner of Podiatry Management http://www.podiatrym.com E-mail us by hitting the reply key. COPYRIGHT 2019- No part of PM News can be reproduced without the written permission of Barry Block
|
|
| PM NEWS QUICK POLL |
Quick Poll
|
|
Do you recommend or dispense cannabidiol (CBD) products?
|
 |
|
|
| PODIATRISTS IN THE COMMUNITY - PART 1 | |
IA Podiatrist Joins CRMC
Cherokee Regional Medical Center (CRMC) is pleased to announce that Emily Anzmann, DPM, has joined the medical staff and will start seeing patients in the new CRMC Foot and Ankle Clinic beginning Monday, November 18.
|
|
Dr. Emily Anzmann |
Dr. Anzmann graduated from the Temple University School of Podiatric Medicine where she received her Doctor of Podiatric Medicine (DPM) degree. She completed her residency in podiatric medicine and surgery at Roger Williams Medical Center in Providence, RI. Earlier this fall, she completed a fellowship in foot and ankle trauma and reconstruction at Broadlawns Medical Center in Des Moines, IA.
Source: Chronicle Times [11/13/19]
|
|
| PODIATRISTS IN THE COMMUNITY - PART 2 | |
TX Podiatry Couple Split Time to Save Daycare
When the daycare bill hit $3,000 a month, Shannon Cairns, DPM knew something had to give. She and her husband, Daniel, own a podiatry practice together near their home in Watauga, a suburb of Fort Worth, Texas. Together they have nearly $400,000 in student loan debt. They also have three children under age 7.
|
|
Dr. Shannon Cairns |
After some budget pondering, the Cairns decided to split their time: Shannon would see patients two days a week, then spend three days at home. Her husband does the reverse. This isn't the best way to grow the practice, she said, “but we couldn't justify [having both of us at work all week] with the child care costs.”
Source: Constance Sommer, 9News.com [11/15/19]
|
|
| MEETING NEWS - PART 1 | |
NJ Podiatrists Acknowledged by the NJ Senate and General Assembly
Robert S. Marcus, DPM and David H. George, DPM were acknowledged by the New Jersey Senate and General Assembly with a joint Legislative resolution by Senator Loretta Weinberg, Assemblyman Jordan Johnson, Assemblywoman Vaineri Huttle, Stephen M. Sweeny, President of the Senate, and Craig J. Coughlin Speaker of the Assembly.
|
|
(L-R) Drs. David George and Robert Marcus |
This honor was presented at the Academy of Continuing Podiatric Education as it marked its twentieth anniversary during the November 16-17, 2019 seminar and workshop. Dr. Marcus is the President and Scientific Chairman of the Academy. Dr. David George is the Academy's Director of Continuing Medical Education.
|
|
| MEETING NEWS - PART 2 | |
FIP Distinguished Award Presented to IL Podiatrist
At the Annual General Meeting of the International Federation of Podiatrists (FIP) held this past week in Miami, Florida, The Distinguished Service Award for 2019 was given to Matthew G. Garoufalis, DPM, of Chicago, IL. Dr. Garoufalis is a past president of both the APMA and FIP and served as the Conference Chair of the recently concluded World Congress of Podiatry.
|
|
Dr. Matthew Garoufalis |
The Annual General Assembly drew delegates from over 25 countries to conduct the business of the association. The World Congress of Podiatry drew 500 podiatrists from around the world. The next World Congress of Podiatry will be held in Barcelona, Spain in September, 2021..
|
|
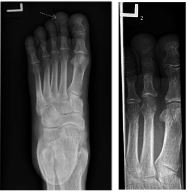
| RELEVANT RESEARCH | |
Tiptoeing on Metastatic Adenocarcinoma of the Lung
Lung cancer remains the top cause of cancer-related death in the United States. Metastases to the distal phalanges are rare. This case illustrates an interesting presentation of metastatic adenocarcinoma of the lung that was mistaken for a benign condition of the toe.
.
|
|
X-ray of left foot (AP lateral oblique views) demonstrating bony destructive lesion of the 2nd left toe |
Source: Hindawi.com
|
|
| PRACTICE MANAGEMENT TIP OF THE DAY | |
Tips to Boost Billing and Collections - Part 3
It’s that time of year again when everyone is planning ways to make the upcoming year their best year yet. If your practice is like most other practices, then one area where you could use some work is billing and collections. Here are some resolutions that can improve your billing and collections in 2020.
3. Stay on top of claims.
-
File claims on time, daily if possible, and have a routine system for checking open claims.
-
Be sure to file amended claims when necessary and never miss a resubmission deadline.
Source: Avery Hurt, Physicians Practice [11/4/19]
|
|
| CODINGLINE CORNER |
Query: Coding for a Diabetic Foot Check With No Abnormalities
How do we code for a new encounter when the patient has Medicare and the primary care physician sends the patient for a diabetic foot exam? The patient has no pathologies of the feet; only diabetes. The patient does not have peripheral neuropathy; there's no deformity and no skin issues. Can the podiatrist get paid for just using the diabetes without complications code?
PM News Subscriber
Response: If a primary care physician refers a patient to you for what would most likely be a baseline podiatric evaluation secondary to the diagnosis of diabetes AND you meet all the elements of an E&M service, a history, exam, and medical decision-making, I believe that billing for the appropriate level E&M code with the diagnosis of diabetes, whether Type 1 or Type 2 is appropriate. If there are no abnormalities found during your examination, it is not to say that your medical decision-making for this patient would not consist of counseling for watching for the signs and symptoms of diabetic neuropathy in the future and counseling about following up with you should anything change. You would most likely not bill for higher than a Level 2 E&M service.
Alan Bass, DPM, CPC, Manalapan, NJ
For information on Codingline subscriptions, click here
|
|
| RESPONSES/COMMENTS (NON-CLINICAL) | |
RE: The Richard O. Schuster Memorial Seminar
From: Chuck Ross, DPM
I recently attended the Richard O. Schuster Memorial Seminar and had two immediate thoughts. First, I was incredibly impressed with the presentations and the manner in which Dr. D'Amico and his dedicated staff managed the entire weekend. Congratulations on a superb job.
My second thought brought me back to the recent discussions on PM News about the "lack" of appropriate education in the area of biomechanics with some blaming the shortcomings on the colleges of podiatric medicine. After the many superb and timely presentations, I must beg to differ and perhaps place blame...
Editor's note: Dr. Ross' extended-length letter can be read here.
|
|
| RESPONSES/COMMENTS (CODINGLINE) | |
From: Estelle Albright, DPM
I find it interesting that complex foot surgeries are bundled into a flat fee... and supplies, meds, and so forth are all included. My oral surgeon charges for each and every part of the procedure, and the endodontist does the same---and insurance pays these fees. And, my dentist charges full fee for each tooth when multiple teeth are done in one session--insurance also pays for this. So, why are our fees discounted to half for the 2nd procedure, 25% for the 3rd procedure, etc.?
Estelle Albright, DPM, Indianapolis, IN
|
|
| RESPONSES/COMMENTS (CODINGLINE) - PART 1B | |
From: Name Withheld
Dr. Kaniadakis is 100% correct. Unbundling is not possibly fraud, it IS fraud. I’ve written here before regarding billing issues. I am an RN and review orthopedic and podiatric claims for several insurance companies. So I’m well aware of those who unbundle. I’m not sure that these providers understand that most insurers follow Medicare rules and there is the Medicare fraud act, which specifically mentions unbundling.
Unbundling to try to beat the insurance company is fraud. Period. Staging procedures over several weeks for reimbursement is simply unethical and places the patient under added risk for anesthesia complications, etc. Providers are always looking for ways to beat the system and it’s something I do not advise. You will eventually get caught.
Insurers are targeting fraud more than ever, and at the top of the list is unbundling. So if you’re performing a bunionectomy with an osteotomy and are unbundling it to a bunionectomy with one code and an osteotomy with another code and a capsulotomy with another code and a synovectomy with another code for something else, you have committed fraud. There is one code to use for all of the above. Those who are doing this are well aware of what they are doing, but aren’t well aware of the consequences including sanctions, pay back, penalties, exclusion from the carrier, and even legal action. If you don’t like the insurance rules, unethical billing or practices isn’t the answer. The answer is play by the rules or opt out of the insurance.
Name Withheld
|
|
| YOU CAN'T MAKE THESE THINGS UP | |
RE: Outrageous Shoe of the Day
|
|
Slip sliding away on slithering shoes |
Source: Virtual Shoe Museum
|
|
MEETING NOTICES
|
|
|
|
NEED CME CREDITS FAST?
PODIATRY MANAGEMENT'S AFFORDABLE ONLINE CME
You can Earn up to 50 Continuing Education Contact Hours (CECH) Online
Earn 15 CECH only $229 (less than $16 per CECH)
(Only $15 per credit) http://www.podiatrym.com/cme.cfm
All required credits can be taken online for AL, AK, AR, CA, CO, DE, HI, IN, KS, LA, MA, ME, MI, MI, MS, NV, NJ, NM, ND, OH, OR, RI, SC, SD, UT, VA, VT, WV, and WI
Partial required credits can be taken online for AZ, FL, GA, ID, KY, IL, ID, IA, MD, MN, MO, MT, NE, NH, NY, NC, OK, PA, PR, TN, TX, WA, and DC
Choose any or ALL from 25+ CECH Category-1 articles posted
|
|
| CLASSIFIED ADS - ASSOCIATE POSITIONS AND FELLOWSHIPS |
ANKLE & FOOT ASSOCIATES DEFORMITY CORRECTION & ADVANCED SURGICAL SKILLS FELLOWSHIP - SE GEORGIA
Fellow position available for the year 2020-2021. Focus on deformity correction, orthoplastics, minimally invasive surgery, and trauma. Interested candidates should send CV to AnkleandFootFellowship@outlook.com. Fellow to be chosen by mid-December.
WOUND CARE/RECONSTRUCTIVE SURGERY FELLOWSHIP - MULTI-SPECIALTY SURGICAL GROUP - LOS ANGELES, CA
Multi-specialty surgical group adding wound care and reconstructive surgery podiatry fellowship for 2020-2021 academic year. Will train in multiple settings alongside plastic and general surgery in new outpatient facility. Full salary, health insurance, and housing stipend provided, with more opportunities after completing program. Send CV to: woundcaredocs@gmail.com
NON-CLINICAL FACULTY POSITION – POMONA, CA
Western University of Health Sciences College of Podiatric Medicine is seeking a podiatric physician who is interested in a full-time non-clinical faculty position at the Assistant, Associate or Professor level. Academic rank will be commensurate with past experience. Please apply at https://apptrkr.com/1675621.
ASSOCIATE POSITION – LOS ANGELES, CA
Established multispecialty private practice group seeking well trained and ambitious specialist to treat podiatry and wound care patients. Expertise in complex and chronic wounds is needed but residency or wound care certification not required. Full-time and well compensated based on a private practice productivity model with salary and benefits guaranteed. Our experienced team provides beautiful, fully equipped offices with on-site ASCs. We provide trained office staff, marketing and expert revenue cycle management, ensuring doctors can focus on patient care. Excellent opportunity to build a great wound care and podiatry practice as part of a reputable and established company. TWCCJobs@gmail.com
ASSOCIATE POSITION - PISCATAWAY/HILLSBOROUGH NJ
Come join our fun-loving team. Looking for a full-time or part-time podiatrist for a well-run established practice. You will immediately be busy with new patients. Only serious inquires please. Send your CV to drwishnie@stopfootpainfast.com and write “I am your next shiny star” in the subject line and tell me why in the body of the email.
ASSOCIATE POSITION - ROCKLAND/WESTCHESTER/SUBURBAN NYC
Well-established foot and ankle surgery/sports medicine practice looking to hire a Talented Team Player to add to our successful family. Must be surgically trained, willing to work hard, and grow with us. Highly competitive salary. Modern, advanced equipment, including PinPointe Laser. Terrific opportunity for the right doctor. Signing bonus. Partnership potential. Please send Cover Letter and CV to: linchpindpm@yahoo.com
ASSOCIATE POSITION - SUFFOLK COUNTY, NY
Multi-office podiatry practice in Suffolk County seeks full time associate, leading to partnership. New York State license required. Must be self-motivated and energetic. Competitive compensation package. Please email CV to newpodiatrist@optimum.net
ASSOCIATE POSITION – CALIFORNIA
Seeking a professional full-time Associate Podiatric Surgeon to join our cutting-edge, well-established and respected team on the Central Coast, California. We are looking for a well-rounded individual to perform all aspects of podiatric medicine and surgery. The candidate must have excellent diagnostic and interpersonal skills. We offer a competitive compensation package. Applicants must submit a CV and cover letter in PDF format. Professional references must be provided at the time of submission. Submit to: heather@ccfaas.com
ASSOCIATE PODIATRIST - METROPOLITAN MARYLAND
Established practice (3 locations) looking for a full-time podiatrist with opportunity for partnership. Must be motivated, personable and dedicated to our growing practice. Must have strong skills in wound care, diabetes, general podiatry and surgery. The ideal candidate will be able to merge into an already protocol-based office. State of the art, fully staffed facility including EMR, PadNet, DME, digital x-rays and shoe stores on premises. Staff privileges at 3 local hospitals. Great location close to Washington D.C. and Virginia. Please send CV to marylandpodiatryjobs@gmail.com
ASSOCIATE POSITION – NAPLES, FL
Immediate and July 2020 associate positions for busy practice in SWFL. ABFAS or ABPM BC or BQ. Interpersonal skills and willingness to work as a team a must. Cloud EMR, Digital x-rays, Ultrasound, DME. Base salary, bonus, health, 401K, Paid vacations etc. Our practice cadaver surgical labs to enhance everyone's skills as a group exclusively available. If you like FL sunshine, fishing, golfing, beaches and to live and work in paradise. Also 1 fellowship position: ACFAS-approved surgical fellowship open for 2020 yr. MIS, RRA Surgery, Practice Management w over 1,200 procedures/450 cases/yr. Must have foot/RRA ABFAS qualified status by 8/2020. DrLam@NaplesPodiatrist.com
ASSOCIATE POSITION – DAYTON, OHIO
Established practice seeks full-time ABFAS or ABPM cert or qual. Podiatrist for our growing practice. Ideal candidate possesses strong clinical and surgical skills. Must be willing to merge into an already established protocol-based office. State-of-the-art facilities and equipment. Hospital privileges, No nursing homes, base $120,000 and generous bonuses. Benefits include medical insurance, disability insurance, paid vacation and holidays, paid CME and malpractice. Please send C/V to DPMOhio@gmail.com
ASSOCIATE POSITION – ALABAMA
Love the beach? Busy, established practice located in a coastal community is looking for a full-time or part-time podiatrist! ABFAS board qualification or certification is required. Must be motivated, hardworking, positive, and dedicated to growing the practice and individual career and reputation. Must have great people skills, caring bedside manner, and positive demeanor. Must work well with staff and local medical community. Competitive pay and partnership track available. Send CV and contact information to: manager@southbaldwinpodiatry.com
ASSOCIATE POSITION – NORTHERN VIRGINIA
Full time associate position, leading to partnership, opportunity for highly motivated individual with PSMR-RRA training. Well established, busy, two-office practice with all ABFAS board certified, FACFAS, foot and ankle surgeons. Would be turn-key taking over high volume existing practitioners patient care. Associated with large local hospital/residency. Competitive compensation package which includes base salary and bonus structure, health and malpractice insurance, 401K and other benefits. Immediate availability or to start when individual graduates from residency/fellowship in July 2020. Email letter of interest/CV to medical622@aol.com.
ASSOCIATE POSITION – MARYLAND
Perfect opportunity for highly motivated individual with excellent clinical skills and bedside manner. Candidate must be proficient with inpatient management, wound care and all aspects of podiatry. Competitive compensation package which includes base salary and bonus structure. Email letter of interest/CV to contact@shadygrovepodiatry.com
ASSOCIATE POSITION PART-TIME – BROOKLYN, NY
ASSOCIATE POSITION - SOUTHERN CALIFORNIA (LONG BEACH)
Established busy practice looking for a full-time podiatrist. This special doctor should be personal, teachable, motivated and independent. Five or more years of practice experience welcome. Need someone immediately. Please submit a CV with a cover letter and three professional references to PodiatristLB@gmail.com
ASSOCIATE POSITION – SAN ANTONIO, TX
Well established practice seeks full-time podiatrist in San Antonio, TX. Recent expansion to second office location offers exclusive opportunity for growth. Candidate must possess strong surgical and clinical skills and have a team player attitude. Salary with incentive structure and benefits. Please send description of your background, training, practice expectations and CV to: lisa.baine@gmail.com
PM NEWS CLASSIFIED ADS REACH OVER 18,000 DPMs AND STUDENTS
Whether you have used equipment to sell or are offering an associate position, PM News classified ads are the fastest, most-effective way of reaching over 18,000 subscribers. For details, click here or write to: bblock@prodigy.net or call (718) 897-9700 for details. For commercial or display ads contact David Kagan at davidekagan@gmail.com or call (215) 808-0770
|
| CLASSIFIED ADS - PRACTICES FOR SALE OR WANTED, EQUIPMENT FOR SALE |
EQUIPMENT FOR SALE - CUTTING EDGE MLS MPHI 5 LASER
Pre-owned Cutting Edge MLS Mphi 5 Laser, with upgraded Battery and new features for treatment of most all Inflammatory Conditions. New $48k. Now $21,500 obo Shipping included. Contact: surgeonman@aol.com
PODIATRY PRACTICE FOR SALE – WESTCHESTER, NY
Well established, successful, located downtown in growing major city Westchester, NY. Parking, public transportation. Retiring due to health reasons. On surgical staff of close major hospital, On ALL major health insurances, four treatment rooms, power chairs, EMR with Dragon, Electronic Billing, ERx, Digital Xray,Vascular Testing, Fluoroscopy, RSWT, Ultrasound, Radiofrequency, Cryoprobe, Autoclave, Whirlpools, Footmax Metascan, complete surgical (with power) and conservative care instruments. PRICED TO SELL. Will introduce. E-mail: lifehope53@yahoo.com
PM NEWS CLASSIFIED ADS REACH OVER 18,000 DPMs AND STUDENTS
Whether you have used equipment to sell or are offering an associate position, PM News classified ads are the fastest, most-effective way of reaching over 18,000 subscribers. For details, click here or write to: bblock@prodigy.net or call (718) 897-9700 for details. For commercial or display ads contact David Kagan at davidekagan@gmail.com or call (215) 808-0770.
|
| Disclaimers |
Acceptance and publication by this newsletter of an advertisement, news story, or letter does not imply endorsement or approval by Barry Block or Kane Communications of the company, product, content or ideas expressed in this newsletter. Podiatric Medical News does not represent the views, and is a separate entity from Podiatry Management® Magazine and Podiatry Management® Online. Any information pertaining to legal matters should not be considered to be legal advice, which can only be obtained via individual consultation with an attorney. Information about Medicare billing should be confirmed with your State CAC.
THIS MESSAGE IS INTENDED ONLY FOR THE USE OF THE INDIVIDUAL OR
ENTITY TO WHICH IT IS ADDRESSED AND MAY CONTAIN INFORMATION THAT IS
PRIVILEGED, CONFIDENTIAL AND EXEMPT FROM DISCLOSURE.
If the reader of this message is not the intended recipient or an
employee or agent responsible for delivering the message to the
intended recipient, you are hereby notified that any dissemination,
distribution, or copying of this communication is strictly
prohibited. If you have received this communication in error, please
immediately notify me and you are hereby instructed to delete all
electronic copies and destroy all printed copies.
DISCLAIMER: Internet communications cannot be guaranteed to be
either timely or free of viruses.
| | Guidelines |
- To Post a message, send it to: bblock@podiatrym.com
- Notes should be original and may not be submitted to
other publications or listservs without our express written
permission.
- Notes must be in the following form:
RE: (Topic)
From: (your name, DPM)
Body of letter. Be concise. Limit to 250 words or less). Use
Spellchecker
Your name, DPM City/State
- Subscribers are reminded that they have an ethical obligation to disclose any potential conflicts of interest when commenting on any product, procedure, or service.
| |
|
Browse PMNews Issues
Previous Issue | Next Issue
|
| |
|
|
|