


|
|
|
|
|
PMNews
Browse PMNews Issues
Previous Issue | Next Issue
| PM News | |
The Voice of Podiatrists
Serving Over 18,463 Subscribers Daily
June 18, 2019 #6,442 Publisher-Barry Block, DPM, JD
A partner of Podiatry Management http://www.podiatrym.com E-mail us by hitting the reply key. COPYRIGHT 2019- No part of PM News can be reproduced without the written permission of Barry Block
|
|
| PM NEWS QUICK POLL |
Quick Poll
|
|
How many days a week do you typically practice?
|
 |
|
|
| PODIATRISTS IN THE NEWS | |
Proper Shoe Fitting and Break-in are the Keys to Blister Prevention: NY Podiatrist
We’ve all experienced the unpleasant sensation of feeling a blister form on your foot while you’re on a long walk. The good news is that blisters are preventable. Friction between your foot and shoe is the most common cause of blisters. For this reason, it’s important to wear shoes that are not only comfortable, but that fit properly and are broken in. A pro tip for making sure you’re buying properly fitting shoes, according to Michael Cunha, DPM, a podiatrist and the founder of Gotham Footcare in New York City, is to try on new shoes at night when the feet are most swollen.
|
|
Dr. Miguel Cunha |
“If the shoe feels comfortable at the end of the day, they will most likely feel comfortable throughout the day,” Dr. Cunha says. The best way to break in a pair of shoes, Cunha adds, is to wear them for five days, increasing the amount of time you wear them by two hours each day, then wear them all day on the fifth day.
Source: Jessica Kasparian, Reviewed [6/14/19]
|
|
| PODIATRISTS AND DIABETES | |
Amputation Rates Still a Major Concern: PA Podiatrist
Amputation rates among people with diabetes in the United States dropped for about 15 years, but recent reports issued by the U.S. Centers for Disease Control and Prevention highlight a disturbing trend: Amputation rates have been rising in people under 65 with diabetes since 2009. The trend was particularly strong for so-called minor amputations of toes and feet, which rose by 62 percent between 2009 and 2015. But major amputations — those done above or just below the knee — were also up by 29 percent. The trend was more pronounced in men than women.
|
|
Dr. Ronald Renzi |
Ronald Renzi, DPM, a podiatrist at Abington Hospital-Jefferson Health, ran the numbers on amputations for all causes and found big racial and geographic disparities in the region. Black men were 2.7 times more likely to get an amputation in Philadelphia and the Pennsylvania suburbs than white men. The procedure was much more common in the region’s poorer, urban areas.
Source: Stacey Burling, The Philadelphia Inquirer [6/16/19]
|
|
| ON THE INTERNATIONAL LECTURE CIRCUIT | |
U.S. Podiatrists Assist in Development of Podiatry Profession in Romania
The Eastern European nation of Romania has taken the historic step of establishing the profession of podiatry to combat the wave of diabetes-related amputations within their estimated 2 million patients with diabetes. Dr. Lee Rogers participated on a panel of international experts to discuss the role of the new profession with legislators and policy makers and how to implement podiatry within the country’s health system.
|
|
Dr. Lee Rogers |
This was followed by the Asociate di Podiatrie’s Congress in Bucharest which featured an interactive keynote from Dr. David Armstrong on podiatry’s global mission, and discussions by Romanian-American podiatrists Drs. Stefan Lorinz and Bogdan Grecea on why they became podiatrists in the United States.
|
|
| FROM PM's CURRENT ISSUE | |
Several times a week, PM News posts an entire article from a recent issue of our partner, Podiatry Management Magazine. Please note that the views expressed in Podiatry Management Magazine do not necessarily reflect the views of PM News or Barry Block.
|
|
Today's Featured Article |
|
|
| PRACTICE MANAGEMENT TIP OF THE DAY | |
10 Ways to Strengthen Your Strategic Plan - Part 8
A strategic plan is not just a document written by physicians and managers and then filed away for safekeeping. It is a vision for the practice, owned by the practice. For a medical practice to succeed, everyone must engage with and live and breathe the plan. Here are 10 questions to assess your strategic plan.
8. Is your strategy contaminated by bias? Confirmation bias refers to a tendency to cherry-pick information that confirms existing beliefs or ideas. The best way to avoid this is to ask an outside consultant to facilitate your strategy discussions. That individual has no emotional ties to your practice and will instead lead a rational discussion on your strategic plan’s viability.
Source: Nick Hernandez, Physicians Practice [5/29/19]
|
|
| CODINGLINE CORNER |
Query: Diagnosis Code for Bone Marrow Edema
We have a patient who sustained a left foot and ankle injury. We did an MRI and the patient has marrow edema in the 4th metatarsal. The patient´s insurance is asking for a diagnosis code for the marrow edema in order to dispense a boot. We are not able to locate a diagnosis code. Has anyone run across this issue and been able to find an appropriate diagnosis code for the bone marrow edema?
Christen B, The office of Donald Carlson, DPM, Hermiston, OR
Response: Bone marrow edema is the term given to abnormal fluid signal seen within the bone marrow on MRI. It is a non-specific, yet important, finding usually indicating the presence of an underlying pathology. Based upon the definition and the apparent etiology that is described in the post, the most appropriate ICD-10-CM codes to diagnose the bone marrow edema are:
M85.871: Other specified disorders of bone density and structure, right ankle and foot
M85.872: Other specified disorders of bone density and structure, left ankle and foot
Michael G. Warshaw, DPM, CPC, Lady Lake, FL
For information on Codingline subscriptions, click here
|
|
| QUERIES (CLINICAL) | |
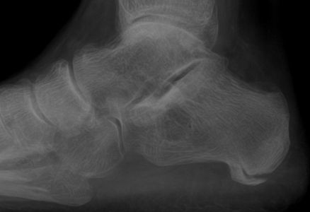
Query: Calcaneal Avulsion Fracture
This is a 37 year old patient who was walking rapidly yesterday. He said he turned to change directions and felt a horrible pain in his heel. He has a significant medical history of a motorcycle accident approximately a year ago with multiple fractures of the contralateral limb, but there was no trauma to the limb involved today.
|
|
Calcaneal avulsion fracture |
It's rare to see avulsion fractures of the plantar fascia attachment. Achilles attachment avulsions are more common in about 1% of calcaneal fractures. The question is surgical repair or no surgical repair? It is almost asking for a percutaneous screw.
|
|
| RESPONSES/COMMENTS (CLINICAL) | |
From: Samantha Bark, DPM
I have several patients on whom I’ve “cleaned out” the 4/5th TMT, released the extensor retinaculum, removed the synovitis, and removed the spurs. Leave the joint alone if the cartilage is even close to decent. Great results/happy patients.
Samantha Bark, DPM, Galion, OH
|
|
| RESPONSES/COMMENTS (NON-CLINICAL) | |
RE: Chiropractic Stem Cell Clinics
From: David Weiss, DPM
There have been several chiropractors in my area that have opened “stem cell clinics” for treating neuropathy and fibromyalgia. These clinics have nurse practitioners administering the injections and some even do “IV Stem Cell” therapy. I had a patient come in today that I have been treating for a plantar plate tear. She paid $14,000 (yes THOUSAND) for a “stem cell treatment” for fibromyalgia. She was given 4 injections in her foot and 2 in her back.
I use the placental tissues in my practice (as injections for plantar fasciitis, Achilles tendonosis, etc.) and they are quite helpful. These have well-documented, double-blind studies. Has anyone else in the country seen these clinics open up? Are you seeing patients undergo this type of treatment? My patient is still in pain, and is frustrated. I’m surprised that the Boards of Medicine tolerate this.
David Weiss, DPM, Richmond, VA
|
|
| YOU CAN'T MAKE THESE THINGS UP | |
RE: Outrageous Shoe of the Day
|
|
Recommended for ballerinas only! |
Source: Masaya Kusini via Virtual Shoe Museum
|
|
MEETING NOTICES
|
|
|
|
PM PODIATRY HALL OF FAME LUNCHEON
July 13, 2018 – Salt Palace Convention Center - Salt Lake City, UT
Honoring Samuel Mendicino, DPM and Rembrandt Jackson
Sponsored by ABFAS (Gold), Bako Diagnostics (Silver), PICA (Bronze), and Sammy Systems (Bronze)
PM News subscribers are invited to see Dr. Mendicino and Mr. Jackson inducted into the PM Podiatry Hall of Fame, including roasts by special guests.
All ticket proceeds go to the APMA Educational Foundation Student Endowment Fund. Reserve your tickets now by emailing Sandra Arez sfarez@apma.org or calling her at (800) ASK-APMA.
|
|
|
NEED CME CREDITS FAST?
PODIATRY MANAGEMENT'S AFFORDABLE ONLINE CME
You can Earn up to 50 Continuing Education Contact Hours (CECH) Online
Earn 15 CECH only $229 (less than $16 per CECH)
(Only $15 per credit) http://www.podiatrym.com/cme.cfm
All required credits can be taken online for AL, AK, AR, CA, CO, DE, HI, IN, KS, LA, MA, ME, MI, MI, MS, NV, NJ, NM, ND, OH, OR, RI, SC, SD, UT, VA, VT, WV, and WI
Partial required credits can be taken online for AZ, FL, GA, ID, KY, IL, ID, IA, MD, MN, MO, MT, NE, NH, NY, NC, OK, PA, PR, TN, TX, WA, and DC
Choose any or ALL from 25+ CECH Category-1 articles posted
|
|
| CLASSIFIED ADS - ASSOCIATE POSITIONS AND FELLOWSHIPS |
MOBILE PODIATRIST NEEDED - NEW JERSEY
Well-established and fast growing House-call podiatry practice (www.homefootcareservices.com) is looking for Full-Time/Part time podiatrist to do home visits to home-bound patients in NJ. Email resume - Lana.Raginsky@homefootcareservices.com
ASSOCIATE POSITION - BROOKLYN, MANHATTAN, BRONX, NY
Full time podiatry position in group practice with salary starting at $100,000 first year and second year $125,000 with bonus structure for entry level. Experienced doctors already on hospital staff and affiliated with insurances negotiable. Includes malpractice, stipend for CME, license, etc., 401k, partial payment of medical insurance. Must be willing to travel to all locations. Please email resume to contactus@starrettpodiatry.com
POSITIONS AVAILABLE - MINNESOTA, PENNSYLVANIA, VERMONT, and ALBANY, NY
Rapidly expanding company serving Skilled Nursing Facilities, Nursing Homes, and Assisted Living Centers is looking for doctors for full or part time positions. Openings include, but are not limited to, Minnesota, Pennsylvania, Vermont and Albany, NY. Positions available immediately. Send inquiries and CV to: phasetwopodiatry@gmail.com
ASSOCIATE POSITION - KENTUCKY
Associate positions open for well-trained, compassionate physician for busy central office in the beautiful Somerset/Lake Cumberland KY and in our Bowling Green location. Wide range of services to be offered with several ancillary services onsite. Generous base salary with incentive/full benefits and partnership opportunity. Email CV to: kypodjob@gmail.com
ASSOCIATE POSITION- NEW JERSEY
Full time and Part time doctors needed for busy growing practice. Multiple locations with interdisciplinary work. Facets include private practice, government contracts, DME, and both surgical and conservative care. Opportunity can be customized for the right person/persons. ABPS qualification or certification necessary. Competitive package and a great opportunity to join a growing successful team. Must have or obtain an active NJ license. Please send cv to hhfootdoc@gmail.com
ASSOCIATE POSITION – LAS VEGAS
Are you looking for an opportunity where the sky is the limit? Are you interested in a bright future, then our long-standing, busy, and very reputable practice in exciting Las Vegas, Nevada might just be for you! Our practice is diversified and consist of, at risk foot care, sport injuries, trauma, biomechanics, and surgery. Candidate must be eager to work hard, ethical, and preferably surgically trained. Our mentors will provide the rest! Serious inquiries only. Please reply and send resume to nevadafas@gmail.com in order to set up an interview.
ASSOCIATE POSITION – LONG ISLAND
Busy podiatry practice seeking podiatrist for LI locations. Position is part-time to full-time in the fall. Looking for intelligent, well spoken, well rounded and dedicated podiatrist to join our team. Surgically boarded a plus. Offices -have a vast array of patients. Send CV and salary requirements to fsfootcare@gmail.com.
ASSOCIATE POSITION – LOS ANGELES, CA
Established multispecialty private practice group seeking well trained and ambitious specialist to treat podiatry and wound care patients. Expertise in complex and chronic wounds is needed but residency or wound care certification not required. Full-time and well compensated based on a private practice productivity model with salary and benefits guaranteed. Our experienced team provides beautiful, fully equipped offices with on-site ASCs. We provide trained office staff, marketing and expert revenue cycle management, ensuring doctors can focus on patient care. Excellent opportunity to build a great wound care and podiatry practice as part of a reputable and established company. TWCCJobs@gmail.com
FULL OR PART-TIME POSITIONS AVAILABLE - GREATER LOS ANGELES AREA
Home Foot Care, Inc. Mobile Podiatrists needed to see homebound patients in San Bernardino/Riverside, Lancaster/Palmdale, Ventura/Oxnard, Los Angeles/San Fernando Valley. Choose your own days/hours, excellent monthly compensation, cloud-based EHR, dedicated support staff. If interested, email CV to: homefootcare@hotmail.com our website: www.footdocs2u.com
ASSOCIATE POSITION - NASHVILLE, TN
Searching for a well-trained and ambitious podiatrist for a growing 3 office location practice. Full-time position offering base + bonus. Associate needs to be board certified or board eligible by the ABFAS. Please email cover letter and CV to mendozadpm@comcast.net. Love of Country Music not required!
ASSOCIATE POSITION – BERGEN COUNTY, NJ
Looking for a full-time podiatrist in a very busy, fast-paced practice. Offering competitive salary and bonuses. Lots of sports medicine, excellent support staff, and positive environment. Immediate start date. Please e-mail CV to cma@njfootpain.com , should you have any further questions you may call Gerry 201-523-9489 ext 101.
ASSOCIATE POSITION - SOUTHWEST FL
Seeking associate for busy well rounded foot/ankle practice. ABFAS or ABPM cert or qual. Great interpersonal skills and willing to work as a team a must. Office fully EMR, digital x-rays, Ultrasound, DME. Base salary, bonus, health, 401K, etc. DrLam@naplespodiatrist.com
ASSOCIATE POSITION LEADING TO PARTNERSHIP - KANSAS CITY AREA
Well established, yet progressive 40 year-old practice is rapidly expanding providing services to Kansas City and the surrounding areas. Applicant should be ABFAS board certified or board eligible. Applicants should have experience in forefoot and hindfoot reconstructive surgeries. Contact via email office@pivotalfootandankle.com
SALES POSITION - CUSTOM ORTHOTIC PRODUCTS
Sales Representatives needed to call on podiatrists and chiropractors to introduce our High-Quality Line of Custom Orthotic products. Repeat monthly commission on new accounts. Call (800) 275-1842
POSITION WANTED - CHICAGOLAND AREA or MIDWEST
I'm looking to join and contribute to a practice. Preference is for the Chicagoland area but open to the Midwest for the right opportunity. Recent graduate, ABPM board certified. Strong wound care background, currently with Illinois license.
PM NEWS CLASSIFIED ADS REACH OVER 18,000 DPMs AND STUDENTS
Whether you have used equipment to sell or are offering an associate position, PM News classified ads are the fastest, most-effective way of reaching over 18,000 subscribers. For details, click here or write to: bblock@prodigy.net or call (718) 897-9700 for details. For commercial or display ads contact David Kagan at davidekagan@gmail.com or call (215) 808-0770
|
| CLASSIFIED ADS - PRACTICES FOR SALE OR WANTED, EQUIPMENT FOR SALE |
PRACTICE FOR SALE - BOCA RATON FL
35 year general podiatric practice with emphasis on sports medicine & orthotics. Great location. Excellent growth potential. Certified EHR. Digital X-ray, Pinpointe Laser. All private insurances accepted. Will stay to transition. 561-247-1144. E-mail - victor195754@yahoo.com
PRACTICE FOR SALE - PITTSBURGH - SOUTHERN SUBURBS
Is this practice for you? Established busy solo practice. Great opportunity to expand your practice foot print or own your own office. Excellent growth potential. Doctor is retiring but will transition. Well-trained staff, Certified EHR. Hospital and Surgery Center Privileges. Excellent reputation and large physician and patient referral base. Contact: MCrosby518@gmail.com
PRACTICE FOR SALE - CENTRAL TEXAS
Beautiful Hill country Solo practice for sale. Grosses 6 figures. Turn-key. Can be sold as a business OR you can purchase the office equipment and move it to where you would like. Owner financing available. Email susieintx@aol.com
PRACTICE FOR SALE - NEW YORK, LONG ISLAND - SUFFOLK COUNTY
35+ year experienced, thriving, expanding, full scope practice on Long Island. Ideal for someone looking to be successful on their own or for a group to have growth with margin. Established patient base and newly renovated offices and updated equipment. Hospital affiliations. Take advantage of this cutting edge, high tech practice where you can deliver high end care to the patients and have the well trained support staff do all the rest! Priced to sell. Contact: SNSFPodiatry@gmail.com
PRACTICE FOR SALE - WASHINGTON STATE
Well established 28 yr old solo practice. Doctor interested in retiring. Accepts all major insurance. Hospital privileges. Supplies, furniture, x-ray included. Excellent income. Great opportunity to live on the spectacular Olympic Peninsula. Office building also available for sale. Willing to stay on for transition. For serious inquiries pfna@olypen.com 360-301-1585
PRACTICES WANTED TO BUY - SOUTHERN CALIFORNIA
Building out a network of podiatry practices throughout southern California. We are looking to buy podiatry practices large, small, rural or urban. Podiatrists who are looking to retire soon or in the near future, or wanting to join a larger group to handle business operations can contact us at podiatrymanagementinc@gmail.com. Competitive compensation and benefits package for those who would like to sell and work within the larger company.
PM NEWS CLASSIFIED ADS REACH OVER 18,000 DPMs AND STUDENTS
Whether you have used equipment to sell or are offering an associate position, PM News classified ads are the fastest, most-effective way of reaching over 18,000 subscribers. For details, click here or write to: bblock@prodigy.net or call (718) 897-9700 for details. For commercial or display ads contact David Kagan at davidekagan@gmail.com or call (215) 808-0770.
|
| Disclaimers |
Acceptance and publication by this newsletter of an advertisement, news story, or letter does not imply endorsement or approval by Barry Block or Kane Communications of the company, product, content or ideas expressed in this newsletter. Podiatric Medical News does not represent the views, and is a separate entity from Podiatry Management® Magazine and Podiatry Management® Online. Any information pertaining to legal matters should not be considered to be legal advice, which can only be obtained via individual consultation with an attorney. Information about Medicare billing should be confirmed with your State CAC.
THIS MESSAGE IS INTENDED ONLY FOR THE USE OF THE INDIVIDUAL OR
ENTITY TO WHICH IT IS ADDRESSED AND MAY CONTAIN INFORMATION THAT IS
PRIVILEGED, CONFIDENTIAL AND EXEMPT FROM DISCLOSURE.
If the reader of this message is not the intended recipient or an
employee or agent responsible for delivering the message to the
intended recipient, you are hereby notified that any dissemination,
distribution, or copying of this communication is strictly
prohibited. If you have received this communication in error, please
immediately notify me and you are hereby instructed to delete all
electronic copies and destroy all printed copies.
DISCLAIMER: Internet communications cannot be guaranteed to be
either timely or free of viruses.
| | Guidelines |
- To Post a message, send it to: bblock@podiatrym.com
- Notes should be original and may not be submitted to
other publications or listservs without our express written
permission.
- Notes must be in the following form:
RE: (Topic)
From: (your name, DPM)
Body of letter. Be concise. Limit to 250 words or less). Use
Spellchecker
Your name, DPM City/State
- Subscribers are reminded that they have an ethical obligation to disclose any potential conflicts of interest when commenting on any product, procedure, or service.
| |
|
Browse PMNews Issues
Previous Issue | Next Issue
|
| |
|
|
|