


|
|
|
|
|
PMNews
Browse PMNews Issues
Previous Issue | Next Issue
| PM News | |
The Voice of Podiatrists
Serving Over 11,000 Podiatrists Daily
April 23, 2009 #3,527 Publisher-Barry Block, DPM, JD
A service of Podiatry Management http://www.podiatrym.com E-mail us by hitting the reply key. COPYRIGHT 2009- No part of PM News can be reproduced without the express written permission of Kane Communications, Inc.
|
|
Podiatric Ultrasound Imaging from Atlantic Medical LLC
Visit us at The Podiatry Institute TPMA spring Conference San Antonio, TX April 17-19
FREE Diagnostic Ultrasound Training DVD!
Digital ultrasound imaging equipment starts at about $200/month with 0 down.
Call 888-383-8858 for an in-office demo or sign up for an upcoming webinar. Visit us at
www.AtlanticMedicalLLC.com or email: info@atlanticmedicalllc.com or upcoming shows:
• OCPMA 4th Annual Southern Exposure-Cincinnati, OH April 24-25
• 60th Region III APMA Meeting- Atlantic City, NJ April 29-May 1
• OKPMA 2009 Spring Scientific Seminar Expo-Tulsa, OK May 15-17
Not going? Call to set up an in-office demo and a free sample training DVD
See What You’ve Been Missing with Atlantic Medical Ultrasound!
|
|
| PODIATRISTS IN THE NEWS | |
Barefoot Runners are More Efficient: MO Podiatrist
“There have been studies with runners that have shown that, biomechanically, you actually run more efficiently without shoes than with running shoes,” said Scott Foster, a podiatrist with Columbia Podiatry, affiliated with Boone Hospital Center.
|
| Dr. R. Scott Foster |
Being barefoot, meanwhile, “is much more natural for your feet. It allows for better use of all the muscles that make your feet and legs more efficient. What shoes do is make you less efficient. They can change the alignment and maybe the way the muscles work. That can sometimes cause problems,” Foster said.
Source: Caroline Dohack, Columbia Daily Tribune [4/19/09]
|
|
CaerVision Podiatry Network
Market your practice and educate your patients in the Waiting Room
• Podiatry specific education to increase compliance and save time.
• Custom practice profile features your services, expertise and credentials.
• Our customers have this to say: “This is a great service at an unbeatable price”… “I am getting CaerVision for all 4 of my offices”… “very professional” … “My patients love it!” … “this is a no-brainer for every podiatrist” … “I get new patient referrals because of this system.”
See us at the Region III Meeting-Atlantic City, NJ at the Taj Mahal April 28-May 1
For more information on how to get a CaerVision System of your own, call us at 888-841-CAER or logon to www.caervision.com and click on podiatry. (CP0313)
|
|
| AT THE COLLEGES | |
TUSPM's Gait Study Center Helps Solve Medical Mysteries
At Temple’s Gait Study Center, researchers are using patients’ gaits to solve their medical mysteries. In this high-tech laboratory, located at the School of Podiatric Medicine, doctors are studying the way their patients stand and walk in order to identify the underlying causes of pain not only in the feet and ankles, but also in the hips, back or neck.
|
| Dr. Howard Palamarchuk |
“If something’s not right with the way you’re walking, it sets off what we call a kinetic chain,” said Howard Palamarchuk, DPM, associate professor of medicine and orthopedics and director of sports medicine at the School of Podiatric Medicine. “When our feet or ankles are bothering us, it sets off a chain reaction that can shoot all the way up the spine and cause problems elsewhere. If a patient comes in with back pain, we’ll look at the way they’re standing or walking to see if there’s a problem there.”
“For example, a patient who comes in with a bunion or a plantar wart will modify the way they’re walking — by putting pressure on the outside of the foot, or the heel — to avoid that pain,” said Palamarchuk. “This causes balance issues and can lead to pain elsewhere in the body.”
|
|
Dr. Comfort
Having a high quality, streamlined and profitable diabetic footwear program in your practice is a critical service for your patients and an important source of revenue for you.
Why choose Dr. Comfort?
1. Highest Quality Products in the Industry
2. Dr. Comfort’s Streamlined Approach to providing footwear
3. The Inherent Value and Profitability of Dr. Comfort
Call 800-556-5572 or email Dr. Comfort now to experience exceptional quality and profitability with ease.
|
|
| PRACTICE MANAGEMENT TIP OF THE DAY | |
People Who Can Help You Succeed
See immediate improvements in your work performance when you commit to this effort over the next 30 days: Spend time listening to what the following people have to say. Included below are questions you can use to prompt conversations that will reveal your pathway to success.
1. Your friends. Ask: “What do you see me doing that is not serving me well?” “If you could have me change one thing in my life, what would it be?” “How can I be a better friend to you?”
2. Your employees. Ask: “What frustrations are you facing right now?” “What are some challenges you are experiencing?” “What do you really like about your work?” “What is one thing I can do to help you be more effective?”
3. Your patients. Ask: “What is one thing we can do to improve your dealings with us?” “What do you need that no one is providing?” “What will it take to keep you as a patient for life?”
4. Your suppliers. Ask: “What can you do for us that you are not doing now?” “How can we make it easier for you to serve us more fully?”
5. Your mentor. Ask: “Am I doing anything to shoot myself in the foot?” “What am I doing that you think is highly effective?” “What personal development goals should I set for myself?” “How can you help me meet those goals?”
Source: Adapted from Smart Moves for People in Charge, Sam Deep and Lyle Sussman, Addison-Wesley via Communication Briefings
|
|
Birkenstock Custom-made Orthotic Sandals Are Back!
Giving your patient’s what they want AND what they need
Just in time for the spring and summer months, the exceptionally popular Custom Orthotic Sandal and Clog Program from Langer is back. And it’s better than ever. We have expanded our product line to include sixteen styles from Birkenstock, Naot and Bite. Patients appreciate being able to wear fashionable footwear, and podiatrists are confident that the compliance with their orthotic therapy is enhanced. As a direct pay product, it’s a benefit for the practice as well. To find out more or to order your starter kit, call 800-645-5520 or click here.
Langer Biomechanics – Where knowledge makes the difference and technology makes it work
|
|
| QUERIES (CLINICAL) | |
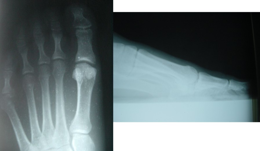
Query: Positional Hallux Limitus
From: Dale M. Smith DPM
Within the last couple of weeks, I've had four 17 to 30-year-old females present with a rectus hallux, no signs of the abductus, complaining of pain of the dorsum medial aspect of the first metatarsel head and exhibiting anywhere from minimal to moderate limitation of motion.
|
| Positional Hallux Limitus |
In all four cases, lateral weight-bearing, angle and base of gait, x-rays show a significant metatarsus primus elevatus. Some show spurring of the metatarsel head. Maybe I'm reviewing the wrong literature, but I am not finding a plethora of articles suggesting the panacea of procedures for this condition. Any thoughts on the best procedure for a positional hallux limitus.
Dale M. Smith, DPM, Chicago IL
|
|
BIG SAVINGS on Wound Care at SureFit™
Now through the end of May you will receive an additional 15% OFF all Polymem Wound dressings. By popular demand, SureFit has extended its EXCEPTIONAL SAVINGS on these Amerigel products through April 30, 2009.
| Amerigel product |
Discounted Price
|
| Wound Dressing, 1oz |
$11.68 ea. |
| Post-Op Surgical Kit |
$15.31 ea. |
| Care Lotion, 8oz. |
$9.43 ea. |
| Barrier Lotion, 8oz. |
$8.93 ea. |
| Wound Wash, 4 oz. |
$4.29 ea. |
| Wound Wash, 8 oz. |
$6.12 ea |
| Saturated Gauze, 2x2, 30/box |
$58.50 ea. |
Call SureFit™ at 800.298.6050 to order today.
|
|
| QUERIES (NON-CLINICAL) | |
Query: Blood Work-up Protocol?
If a doctor refers a patient to you, and part of your work-up is to have knowledge of bloodwork results, is there a protocol where the patient should go for the bloodwork? Is it politically incorrect to send the patient to a lab versus back to the doctor? I thought that a patient referred to me had gout. I asked the patient to get a CBC with diff, ESR, uric acid blood level, and 24-hr urine. The internist called me and was upset that I sent his patient for blood work. Did I commit a faux pas?
Jeffrey Kass, DPM, Forest Hills, NY
|
|
Premium Web Sites that Generate New Patients!
“...1,269 new patients!” — Greg Renton, Orlando, FL
“...1,213 new patients!” — Dr. Robert J. Abrams, Newhall, CA
“...724 new patients!” — Dr. Mitchell Waskin, Richmond, VA
Officite has built over 4,000 Web sites worldwide. We have Podiatric specific content, experience with search engine marketing for a podiatry practice, and we make the process of setting up a site easy.
PM News Special: $1,000 OFF practice web site.
Click here for details or call Officite at (866) 889-4067.
Current Clients…upgrade to a new site design & our site editor…call for details!
|
|
| RESPONSES / COMMENTS (CLINICAL) - PART 1 (CLOSED) | |
RE: Chronic Achilles Tendinitis (Alan Mauser, DPM)
From: Geoffrey Bricker, DPM, Jan David Tepper, DPM
I have been using prolotherapy for tendinosis for over 2 years now with a greater than 90% success rate, even in cases where surgery was contemplated. Inject 1-2 cc each of 50% dextrose, Sarapin, and 0.5% Marcaine along the tendon every 1-2 weeks for up to 7 injections. Sarapin is optional. The effects seem to be cumulative so you can space out as desired. There may be some injection soreness for 2-3 days after the injection. Use adjunctive therapy as indicated. It is cheap and easy with few compliance issues. I First heard about this on PM News, researched it and perfected it. It should definitely be taught in the schools. If there are questions contact me by e-mail or phone (I'm still old school).
Geoffrey Bricker, DPM, Springfield, MO, geoffreybricker1@msn.com
When all else fails for chronic Achilles tendonitis (the fusiform swelling is classic for greater injury), I cast for 6 to 12 weeks, or as long as they are responding to therapy, and treat this as a partial tear. Once no longer symptomatic, I consider bracing (orthotics, AFO ) to whatever extent is necessary to remove the deforming forces. If the condition is resistant to this form of care or if it fails this form of care, I use further diagnostic testing such as MRI to determine the extent of the injury and treat appropriately.
Jan David Tepper, DPM, Upland, CA, jdtdpm@aol.com
Editor's note: This topic is now closed.
|
MEETING NOTICES
American College of Foot and Ankle Surgeons
CODING AND PRACTICE MANAGEMENT SEMINAR
being held Friday and Saturday, May 15-16 in Charleston, SC.
Coding...recession ready your practice; Technology...give your practice a “tech up”; Risk Management; Physician Quality Reporting Incentives (PQRI); E-Prescribing and Marketing. Walk away with what you need to know so your practice won’t just survive, it’ll thrive!
Today’s economy has made it more important than ever to look for every opportunity to increase revenues, reduce expenses, and stay afloat in rough times. You and your staff will hear it all from leading specialists in the field.
Click here for additional information.
Register online today for this outstanding seminar.
|
|
| RESPONSES / COMMENTS (CLINICAL) - PART 2 (CLOSED) | |
RE: Scanners for Orthotic Fabrication (Larry Huppin, DPM)
From: Robert Zeien
Editor's note: This extended-length note can be read at: http://www.podiatrym.com/letters2.cfm?id=25921&start=1
Editor's note: This topic is now closed.
|
|
MORE LIVE SURGICAL CASES
GEORGETOWN UNIVERSITY HOSPITAL
2009 DIABETIC LIMB SALVAGE CONFERENCE
JW Marriott Pennsylvania Avenue, Washington, DC
24-26 September 2009
• Register online now at DLSConference.com and save
• Join 1,400+ colleagues • 60+ faculty • 75+ exhibitors
• Expanded live cases from Georgetown ORs • Earn 28 CMEs
Co-Chairmen: • John S. Steinberg, DPM • Christopher E. Attinger, MD
• Richard F. Neville, MD
337-235-6606 • 337-235-7300 (fax)
|
|
| RESPONSES / COMMENTS (NON-CLINICAL) | |
RE: Diabetic Socks (Cheryl Martinetti, PMAC)
From: Paul Kesselman, DPM
Knit Rite is a leading manufacturer of socks specifically engineered for diabetics and others with venous compromise. Their socks are competitvely priced (~$14 per pair) and meet the most advanced textile industry standards for diabetic and compression hosiery. The standard requirements to look for in highly advanced hosiery have been recently been reviewed in several Podiatry Managment articles.
Knit Rite Stockings contains a patented Corespun Technology. This avoids internal seams in the design of their hosiery and eliminates bunching. This significantly reduces the risk of ulceration while still allowing for appropriate support, shock dispersion and compression. Knit Rite socks are solely represented to podiatrists by Med Reps USA.
Disclaimer: I am a consultant to Med Reps USA
Paul Kesselman, DPM, Woodside, NY pkesselman@pol.net
|
|
CODINGLINE CORNER
CURRENT TOPICS BEING DISCUSSED ON CODINGLINE'S LISTSERV INCLUDE:
o Foreign Body Removal Sort Of
o Post Achilles Rupture Diagnosis
o Return Visit - Another Copay
o Supervising Hyperbaric Oxygen
o Adjustment of a Gauntlet Brace
Codingline subscription information can be found here
|
|
| RESPONSES / COMMENTS - NEWS STORIES | |
RE: 6.8% Drop In Physician Income If NPH Instituted
From: Philip McKinney, DPM
Speak with any politician and they will tell you this is how they view the idea of financing healthcare. This is NOT about decreasing the cost of the actual healthcare - that project is too difficult for the small political mind. Ask the politician, that if there needs to be a decrease in physician reimbursement by 6.8% to help finance healthcare, then by that reasoning, should we not decrease teacher pay by 6.8% to finance schools, police and fire by 6.8% to finance community protection, politicians by 6.8% to finance government? Do we ever hear these proposals?
Philip McKinney, DPM, Eugene, OR, opodiatry@oregonpodiatry.net
|
|
PODIATRY MANAGEMENT'S AFFORDABLE ONLINE CME
You can Earn 30 CPME-Approved CME Contact Hours Online
Earn 15 Contact Hours for only $139(Less than $14 per credit)
http://www.podiatrym.com/cme.cfm
Choose any or ALL (30 CME Contact Hours) from the 20 CME articles posted
You Can Now Take Tests and Print Your CME Certificates Online
|
|
| CLASSIFIED ADS | |
ASSOCIATE POSITION - MIAMI-DADE FLORIDA
Partnership w buy out opportunity for the right candidate. Well-established modern practice. EMR, digital x-rays, gait scan, etc. Excellent hospital privilages. SALARY...two options. $40,000 starting, 40% of everything you generate over $120,000. Want a fixed salary instead? $75,000 a year I feed you patients and provide an excellent well-trained staff. Contact doctorinhialeah@aol.com
ASSOCIATE POSITION AVAILABLE GREATER HOUSTON
Looking for full-time associate to work in well established practice with 3 offices in the Houston area. Practice focused on sports medicine, surgery with EMR, Digital X-ray, Musculoskeletal Ultrasound and new office built in 2007. Great opportunity in one of the fastest growing areas in the country that has been least impacted by economic woes. No nursing homes, routine care. Available to start in July/August for PSR 24-36 surgically trained podiatrist, Spanish speaking a plus. Great opportunity with competitive salary along with malpractice benefits. Please send CV and letter of interest to officemanager23@gmail.com
PRACTICE FOR SALE - FLORIDA—CENTRAL/SOUTH
Turn-key operation grossing $570,000 annually based on one full-time doctor. Great opportunity for growing the top-line. Surgery is only 14% of the professional man-hours; it can significantly increase income. Medicare makes up 64% of revenues. Seller will assist with transition. Call 863-688-1725, ask for Chas.
ASSOCIATE POSITION - CHICAGO AREA
Join one of the most successful, long-established podiatry practices in the Chicago area, with excellent salary and benefits. We have an immediate opening for a full-time podiatrist in a multi practice location in Chicago. Must have two years of surgical residency. Please e-mail resume to f-massuda@footexperts.com
EQUIPMENT FOR SALE
Battery operated K wire driver, Stryker oscillating surgical saw and osteotome (drill) complete set. Ille Extremity whirlpool, Osada drill set, power base (30w), 3 hand pieces, Reece Osteotomy guide, Orthoposer and axial x-ray devices. Send email raybrown@bellsouth.net for pictures, price, or call 704-892-7301
ASSOCIATE POSITIONS – MARYLAND
Are you motivated, personable and enjoy working with the elderly? We are offering full or part-time positions in Maryland. Our group, Podiatry Management Services, provides care to the elderly in Nursing Homes, Assisted Living, Senior Homes, Adult Daycare and other similar facilities. Please call Dr. Herbert Rosen at 410-580-0255 or e-mail your c.v. to drhprosen@comcast.net or fax to 410-486-2049.
CASE CONSULTING
Dennis Shavelson, DPM is now accepting referrals of difficult cases involving biomechanics, surgical complications, non-healing wounds diagnostic and treatment dilemma’s and subtalar stenting from DPM’S. Full reporting with second opinion only, rapid return after care and assumption of care options. Medicare and Out-of-Network Only. (212) 288-3668 or drsha@lifestylepodiatry.com
NEEDED CHICAGO -- NW IND & BALTIMORE/WASHINGTON, DC PODIATRISTS
Home Physicians, a medical group specializing in house calls is looking to hire podiatrists in Chicago, Northwest Indiana, and Baltimore, MD. Full and part-time positions are available. Competitive Compensation including malpractice. Contact Scott Schneider. Phone-773-342-4201 FAX 773-486-3548-E-Mail sschneider@homephysicians.com Visit our website
ASSOCIATE POSITION AVAILABLE-MIDTOWN MANHATTAN
Looking for Full-time associate to work in well established practices in midtown Manhattan and Forest Hills. Immediate opening for PSR 24-36 surgically trained Podiatrist. Great opportunity with competitive salary along with malpractice benefits. Please send CV to slurie@papapc.net
NEED EXTRA INCOME? IMMEDIATE OPENING FOR A PER-DIEM DPM
Our practice continues to grow and we’re in need of a well-trained DPM who is great with patients. Our multi-office practice is located in the scenic Hudson Valley region of upstate NY. This is a great opportunity to grow with our practice and provides unlimited income potential. Reply to: Hudson Valley Foot Associates, PO Box 3300, Kingston, NY 12402-3300; or email CV and cover letter to: jobs@hvfa.com
PM Classified Ads Reach over 11,500 DPM's and Students
Whether you have used equipment to sell or our offering an associate position, PM News classified ads are the fastest, most-effective way of reaching over 11,500 DPM's. Write to bblock@podiatrym.com or call (718) 897-9700 for details. THIS OFFER DOES NOT APPLY TO BUSINESSES PROVIDING PRODUCTS OR SERVICES. Note: For commercial or display ads contact David Kagan at (800) 284-5451 Ext 110.
|
| Disclaimers |
Acceptance and publication by this newsletter of an advertisement, news story, or letter does not imply endorsement or approval by Barry Block or Kane Communications of the company, product, content or ideas expressed in this newsletter. Podiatric Medical News does not represent the views, and is a separate entity from Podiatry Management® Magazine and Podiatry Management® Online. Any information pertaining to legal matters should not be considered to be legal advice, which can only be obtained via individual consultation with an attorney. Information about Medicare billing should be confirmed with your State CAC.
THIS MESSAGE IS INTENDED ONLY FOR THE USE OF THE INDIVIDUAL OR
ENTITY TO WHICH IT IS ADDRESSED AND MAY CONTAIN INFORMATION THAT IS
PRIVILEGED, CONFIDENTIAL AND EXEMPT FROM DISCLOSURE.
If the reader of this message is not the intended recipient or an
employee or agent responsible for delivering the message to the
intended recipient, you are hereby notified that any dissemination,
distribution, or copying of this communication is strictly
prohibited. If you have received this communication in error, please
immediately notify me and you are hereby instructed to delete all
electronic copies and destroy all printed copies.
DISCLAIMER: Internet communications cannot be guaranteed to be
either timely or free of viruses.
| | Guidelines |
- To Post a message, send it to: bblock@podiatrym.com
- Notes should be original and may not be submitted to
other publications or listservs without our express written
permission.
- Notes must be in the following form:
RE: (Topic)
From: (your name, DPM)
Body of letter. Be concise. Limit to 250 words or less). Use
Spellchecker
Your name, DPM City/State
- Subscribers are reminded that they have an ethical obligation to disclose any potential conflicts of interest when commenting on any product, procedure, or service.
| |
|
Browse PMNews Issues
Previous Issue | Next Issue
|
| |
|
|
|