  
 
 
 
  
 
 
 
  
 
 
 | 
 
 
| 
 |  
 
 
 | 
 
 
 |  
	PMNews
 
  
Browse PMNews Issues
Previous Issue | Next Issue 
  
| PM News  |    | 
 The Voice of Podiatrists
  Serving Over 12,500 Podiatrists Daily
  March 14, 2011 #4,107   Publisher-Barry Block, DPM, JD
  A service of Podiatry Management http://www.podiatrym.com  E-mail us by hitting the reply key. COPYRIGHT 2011- No part of PM News can be reproduced without the express written permission of Kane Communications, Inc.  
 | 
 
  
 
 | 
 
  
 
 | 
 
 |    PODIATRISTS IN THE NEWS |   | 
 
Surgeons Can Now Get Bones, Stem Cells 'Off The Shelf': CA Podiatrist 
When patients need a bone graft for a foot or ankle surgery, bone often is taken from another part of their body. Now surgeons are using new methods to get bone material and even stem cells right "off the shelf," according to Glenn M. Weinraub, DPM, FACFAS, a California foot and ankle surgeon who lead a discussion among surgeons on the next decade of bone healing at the American College of Foot and Ankle Surgeons' (ACFAS) Annual Scientific Conference in Fort Lauderdale.  
   | 
 
| 
Dr. Glenn M. Weinraub | 
 
 
"Harvesting a patient's own bone has always been considered the gold standard, but nowadays I think that concept should be thought of as the historical standard," said Dr. Weinraub, president of ACFAS. "The quality of the material that is available in a pre-packaged format has been shown to be just as effective for bone healing and may yield fewer complications for the patient." 
Source: Medical News Today [3/12/11} 
 | 
 
  
 
 | 
 
  
 
 | 
 
 |    PODIATRISTS AND HUMANITARIAN CAUSES |   | 
 
PA Podiatrist to Bring Foot Care to Sierra Leone 
Africa Lower Limb Institute (ALL In) officially launched its campaign to bring awareness to Africans about podiatric foot care and education on Saturday March 5th 2011. This auspicious event held in Washington D.C. officially turned a passionate dream into reality for the institute’s founder, Dr. Noahleen Betts, a Sierra Leonean podiatric foot surgeon, who runs her own private practice in Reading, Pennsylvania, USA.  
   | 
 
| 
Dr. Noahleen Betts | 
 
 
Starting with Sierra Leone in April 2011, the Institute will be providing educational training for the treatment of lower extremity disorders and aims to eventually take podiatric care to all underserved areas in Africa. At the function, which also dubbed as a fund-raising event, the audience got a glimpse of the power behind Dr. Betts’ commitment and passion to address this neglected area of healthcare in most places in Africa. 
Source: Cocorioko [3/12/11] 
 | 
 
  
 
 | 
 
  
 
 | 
 
 |    PODIATRISTS IN THE COMMUNITY |   | 
 
NY Podiatrist Follows a Pipe Dream 
Dr. Michael Hanzly is a podiatrist in South Buffalo, but playing the bagpipes is his real passion. Initially drawn to bagpipes by their haunting sound, this student of history has learned all he can about the Great Highland Bagpipe that dates back to 4000 B.C. 
 
 
 | 
 
| Dr. Michael Hanzly |  
 
It wasn't until a decade ago -- when Hanzly turned 50 -- that he decided to buy his own set of bagpipes at the urging of his wife. He joined a band, bought four kilts, and he has dedicated much of his spare time to piping -- marching with the Blackthorn Club in St. Patrick's Day parades and performing with his band, the Trinity Episcopal Pipes and Drums. 
Source: Jane Kwiatkowski, Buffalo News.com [3/11/11]
  | 
 
  
 
 | 
 
  
 
 | 
 
 |    PODIATRISTS IN INDUSTRY  |   | 
 
MA Podiatrist to Head Pinpointe's Medical Advisory Panel 
PinPointe USA, Inc., makers of the PinPointe FootLaser, has announced that Adam Landsman, DPM will head up the company’s Medical Advisory Panel. In this role, Dr. Landsman will provide valuable insight as it pertains to current and future clinical applications, clinical studies, as well as assist with recommendations on expanding the panel into multi-disciplinary specialties, thus broadening the company’s expertise.  
   | 
 
| 
Dr. Adam Landsman | 
 
 
Adam Landsman, DPM, PhD, FACFAS is currently an Assistant Professor of Surgery, Harvard Medical School, Boston, MA and is also the Director of Research for the California School of Podiatric Medicine at Samuel Merritt University, Oakland, CA. In addition to his clinical experience Dr. Landsman has traveled globally, lecturing on many topics including onychomycosis. 
Source: Vancouver Sun [3/11/11] 
 | 
 
  
 
 | 
 
 |    IN THE COURTS |   | 
 
Federal Court Agrees to Fast-Track ACA Appeal 
A federal appeals court has agreed to act swiftly in considering a Florida judge's ruling that President Barack Obama's healthcare overhaul is unconstitutional. The 11th U.S. Circuit Court of Appeals in Atlanta said that it had agreed to expedite the appeal concerning the Patient Protection and Affordable Care Act, setting a faster timetable than even the federal government had requested 
The decision means the federal government must file its first set of court papers on the issues in the case by April 4, and the state of Florida has until May 4 to file its papers. The federal government would file additional papers by May 18. The appeals court said it had not made a decision on a request that the initial review be held before all 10 federal judges. 
Source: Associated Press [3/12/11] 
 | 
 
  
 
 | 
 
 |    QUERIES (CLINICAL) |   | 
 
Query: Comminuted Fracture S/P Surgery 
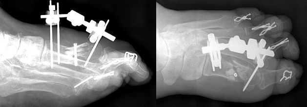
This 53 y/o female presented with an S/P ORIF comminuted fracture of the first metatarsal of the right foot w/ex fix application. The patient walked on the osteotomy site which caused the fracture and implant dislocations.  
   | 
 
| 
Comminuted Fracture 1st Metatarsal S/P Surgery | 
 
 
The patient reports bumping her surgical foot against a doorpost while stumbling in the dark. X-rays show a dorsal shift in the capital fragment. The patient has proven to be quite difficult. I'm concerned, to say the least. Any suggestions will be greatly appreciated. 
  
Name Withheld 
 | 
 
  
 
 | 
 
 |    QUERIES (NON-CLINICAL) |   | 
 
Query: SuiteMed and Compulink EMR Systems 
I would like to hear from podiatrists who have made the move to attain CCHIT-certified software, specifically  SuiteMed and Compulink. I have looked at several programs regarding implementation and the change from MEDINOTES and Lytec. 
Harry Cotler, DPM, Soldotna, AK 
 | 
 
  
 
 | 
 
 |    RESPONSES / COMMENTS (NON-CLINICAL) - PART 1 |   | 
 
RE: Sending Patients' Accounts to Collections (David Weiss, DPM) 
From: Richard A. Simmons, DPM 
The question I have is: Why aren't deductibles and other patient-responsible payments collected at the time of service? There are many services available that allow any practitioner to know the patient's financial responsibility within minutes  I suggest using them to avoid this headache. Medicare and some contracts "include the fee for collecting payments" in the allowable fee, which basically means you cannot charge the patient anything more than the allowable amount. Hence, no finance fees or penalty fees. I believe it was a few weeks ago in this forum where I read that some DPMs were getting credit card imprints from patients before service was rendered to take care of situations such as yours. 
Richard A. Simmons, DPM, Rockledge, FL, RASDPM32955@gmail.com 
 | 
 
  
 
 | 
 
 |    RESPONSES / COMMENTS (NON-CLINICAL) - PART 2 |   | 
 
RE: Midmark, MTI Podiatry Chairs (David Gurvis, DPM) 
I have 5 MTI chairs in our office and have been very pleased with them. 
Ken Jacoby, DPM, Elgin, ILKenJacoby18@gmail.com 
 | 
 
  
MEETING NOTICES - PART 1 
  
 | 
 
 
 
 | 
 
  
 
 | 
 
 |    RESPONSES / COMMENTS (NEWS STORIES) |   | 
 
RE: The Affordable Healthcare Act of 2010 /Obamacare (Barry Block, DPM, JD) 
From: Carlos Montes, Jr., DPM, MS 
Promoting the general health and welfare is written indelibly in our constitution. Making healthcare a priority in our country, therefore, should be of prime importance and fiscally prudent. Giving consideration to moral and just ramifications in a civil society, it boggles the mind where this debate remains. Listening to ideological talking points, such as "Obamacare" should be beneath intelligent debate and clearly defines where you stand. The correct name of this bill is the Affordable Healthcare Act of 2010, not "Obamacare." 
I find our Editor's comment offensive in the fact he stokes the fires of illogic and ideology. The problem lies in the cost of care, which in my view and experience has several facets, one being the extraction of value by third-party private insurance who deliver no care at all. If one would look clearly without ideological prism, the answer is single payor.  But the powers that be will have none of that. It will ultimately come to pass when reason prevails, not greed or blind ideology. Words do matter and fog clear thinking. But I do agree with your last sentence, yes, this "Supreme Court" will certainly "decide" the matter to the detriment of the public good. 
Carlos Montes, Jr., DPM, MS, Rockledge, FL , Cimontesjr@aol.com 
Editor's comment: The general media, as well as Democrats and Republicans have referred to the Affordable Healthcare Act of 2010 as "Obamacare." It is common practice to reduce the long euphemistic names that Congress often gives to bills to simpler terms. If a bill is considered good, then the person who it is named after should be honored, e.g., Sherman Anti-Trust Act. 
 | 
 
  
MEETING NOTICES - PART 2 
  
 | 
 
 
 
 | 
 
  
| 
 
CODINGLINE CORNER 
CURRENT TOPICS BEING DISCUSSED ON CODINGLINE'S LISTSERV INCLUDE: 
 o Class 4 Laser Treatment Coding 
 o PECOS Advice 
 o Coding Sport-Type Orthotics   
 o Surviving a Medicare Audit Webinar   
 o Coding for Needling of Bursa 
 
Codingline subscription information can be found here 
APMA Members: Click here for your free Codingline Silver subscription 
 | 
 
 
 
 | 
 
 |    CLASSIFIED ADS |   | 
 
ASSOCIATE POSITION AVAILABLE - NY 
Busy Midtown Manhattan state-of-the-art practice with 2 locations seeking part time/full time associate. Must be in-network Empire BC/BS. Looking for a personable doctor with immediate availability. Residents Need not apply. DrB@myfcny.com 
ASSOCIATE POSITION – PHILADELPHIA, PA 
Philadelphia surgical podiatrist, seeking surgical or non-surgical trained podiatrist to help expand practice hours. Located in a busy medical building. Clinic area is multi-specialty. Looking for someone to work expanded hours, days and some Saturdays. Call 215-665-9225 Dr. Smith, fax CV 215-665-9242 or email mybadfeet1@yahoo.com 
  
ASSOCIATE POSITION - KENTUCKY 
  
Very well-established podiatry practice in Louisville, KY seeks a motivated, ethical practitioner trained in all phases of podiatry including routine care, surgery and wound care to join 2 other podiatrists. By joining our practice you will receive a competitive salary with a bonus structure and benefits. Our practice is equipped with DME, PadNet, Gait Scanner and on site retail store. There is a huge potential to grow your practice with our ideally located facility that has strong affiliation with leading area hospitals as well as 2 local residency programs. For immediate consideration, please forward CV to Samuel10530@yahoo.com 
IMMEDIATELY AVAILABLE- ASSOCIATE POSITION - DAYTON, OHIO  
Join a well-established modern practice with an excellent reputation and referral base. Base salary $100,000 and benefits with a bonus structure. EMR, diagnostic ultrasound, all aspects of DME, Padnet vascular studies, and CO2 lasers. We seek a surgeon that is well trained, personable and motivated to join our group of 3 Podiatric Surgeons. Would like this individual to buy in the practice eventually. Please send resume to ohiodoctors@aol.com  
ASSOCIATE POSITIONS - NW INDIANA, CHICAGO AREA 
2 Full-Time positions open - One for Northwest Indiana and one for the Chicagoland area. Must have 2-year surgical residency. Must be motivated and a self-starter. State License required. If interested email: f-massuda@footexperts.com 
ASSOCIATE POSITION - MARYLAND 
IMMEDIATE Associate needed to join a multi-office podiatry practice in the Baltimore MD Region. Desired candidate should be surgically trained with Board Eligible/Certification. You must be hard-working, ethical, compassionate and confident in your abilities to deal with pathology, patients, staff and fellow physicians. Patient base is already established. Excellent income and growth potential for the right associate. Please forward a cover letter, resume, and surgical log (if a current resident) and availability to FootDocMaryland@Gmail.com 
ASSOCIATE OPPORTUNITY - FREDERICKSBURG, VA 
Progressive, busy practice seeks personable, ethical, confident associate interested in future partnership. Lucrative opportunity for self-starter with strong work ethic. State-of-the-art office in rapidly growing community with two new hospitals and new surgery center. Practice has excellent reputation with well established referral base. Cover letter/CV to: fredfeet@verizon.net 
ASSOCIATE POSITION - SOUTH/CENTRAL PENNSYLVANIA 
PSR-24/36 trained individual for busy practice in family-friendly college town. Seeking personable, ethical, motivated individual to join our well established practice providing all aspects of podiatric care. Competitive salary and benefits package. Reply with letter and CV to Jagerone@aol.com 
EQUIPMENT FOR SALE - COOL TOUCH LASER 
  
Cool Breeze Cool Touch CT3 plus laser used for ugly, unsightly, toe nail infections. Less than six months old. Great price won't last long. Considering a laser? We also have the Q- Clear Q- switch laser too. This laser is perfect for you. Dr. Zuckerman is in the Fort Lauderdale area and will demo this lasers on your patients. E-mail footcare@comcast.net 
EQUIPMENT FOR SALE 
Hausted 825 GMCOO Unicare III stretcher. Approximately 7 yrs old, but rarely used. Great condition. Excellent condition, no rips or tears. $250 PDM J120B Podiatry chair-Used. Navy blue upholstery with some wear. Has Lift, Tilt and Back functions. Foot pedal. Screen and doctor’s stool included. $1,750. Photos on request. 410-768-5800 jferris@chesapeakefootandankle.com 
FELLOWSHIP OPPORTUNITY 
  
Applications are being accepted for the Central Kentucky Diabetes Management Fellowship. Dr. Jonathan Moore, former UTHSC Diabetes Fellow, OCPM adjunct faculty, AAPPM board member and national lecturer and author on diabetes and practice management related topics is director and founder. Don't miss out on the most unique, dynamic fellowship in Podiatric medicine. Learn latest advances in Diabetes management/surgery along with knowledge to run and grow a successful practice. Generous stipend, full benefits and free housing in resort setting. Email CV and letter of interest to: jmoore@aappm.org  Visit our website  
PRACTICE FOR SALE - WASHINGTON STATE - SUBURBAN SEATTLE  
16 year established part time practice. Includes Midmark 417 (4 position keypad), Excel X-ray, processor, Ritter M9, instruments, bandaids, etc. 1 Day/week $50K gross. Professional Business appraisal at $48K. Asking $35K. Shared office with 2 FP's. Easily expandable. Reply: practiceforsale18@yahoo.com 
PRACTICE FOR SALE - MARYLAND, DC SUBURBS 
 
Great opportunity. Well established and equipped practice for sale. Office includes state licensed Ambulatory Surgical Center. Present owner is retiring but will stay on as needed for smooth transition. Average gross over past 3 years is $575 K. dpmpracticeforsale@yahoo.com 
SPACE AVAILABLE- NYC & LI  
Office to sublet and share - East 60th Manhattan, and Plainview long island. access to an MRI, Joint Commission certified operating rooms, digital x-ray, diagnostic ultrasound, and access to a multi-specialty ambulatory surgical center. Turn-key operation - no investment needed 516 476-1815 PODO2345@AOL.COM 
PM News Classified Ads Reach over 12,500 DPM's and Students 
 
Whether you have used equipment to sell or our offering an associate position, PM News classified ads are the fastest, most-effective way of reaching over 12,500 DPM's. Write to bblock@podiatrym.com or call (718) 897-9700 for details. Weekly ad rates start as low as $109 for a 50-word ad THIS OFFER DOES NOT APPLY TO BUSINESSES PROVIDING PRODUCTS OR SERVICES. Note: For commercial or display ads contact David Kagan at (800) 284-5451.  
 | 
 
 |   Disclaimers |    
Acceptance and publication by this newsletter of an advertisement, news story, or letter does not imply endorsement or approval by Barry Block or Kane Communications of the company, product, content or ideas expressed in this newsletter. Podiatric Medical News does not represent the views, and is a separate entity from Podiatry Management® Magazine and Podiatry Management® Online. Any information pertaining to legal matters should not be considered to be legal advice, which can only be obtained via individual consultation with an attorney. Information about Medicare billing should be confirmed with your State CAC.
  THIS MESSAGE IS INTENDED ONLY FOR THE USE OF THE INDIVIDUAL OR 
ENTITY TO WHICH IT IS ADDRESSED AND MAY CONTAIN INFORMATION THAT IS 
PRIVILEGED, CONFIDENTIAL AND EXEMPT FROM DISCLOSURE.
 
If the reader of this message is not the intended recipient or an 
employee or agent responsible for delivering the message to the 
intended recipient, you are hereby notified that any dissemination, 
distribution, or copying of this communication is strictly 
prohibited. If you have received this communication in error, please 
immediately notify me and you are hereby instructed to delete all 
electronic copies and destroy all printed copies.
 
DISCLAIMER: Internet communications cannot be guaranteed to be
either timely or free of viruses.
 |    |   Guidelines |    
 -  To Post a message, send it to:    bblock@podiatrym.com
 -  Notes should be original and may not be submitted to 
other publications or listservs without our express written 
permission.
 
-  Notes must be in the following form:
 
RE: (Topic)
 
From: (your name, DPM)
 
Body of letter. Be concise. Limit to 250 words or less). Use
Spellchecker
 
Your name, DPM City/State  
-  Subscribers are reminded that they have an ethical obligation to disclose any potential conflicts of interest when commenting on any product, procedure, or service.
 
 
 
 
  
 |    |   
 |   
 
Browse PMNews Issues 
Previous Issue | Next Issue 
 | 
 
|   | 
 
 
 |  
 
 |   
 |